北新地駅徒歩3分、LINEで予約できる歯医者さん
堂島RYO歯科・矯正クリニック
06-6225-735706-6225-7357
問診票問診票
  • 当院について
    • アクセス
    • 設備紹介
  • 院長紹介
  • 診療メニュー
    • 保険診療
    • 審美歯科
    • 歯茎下がり治療
    • 親知らず
    • 入れ歯
    • ホワイトニング
    • 食いしばり/歯軋り
    • アイコン治療
    • すきっ歯
    • 矯正歯科
      (インビザライン・ワイヤー)
    • インプラント
    • 歯周病
    • メンテナンス
    • ガミースマイル
    • リップアートメイク
      リップメラニンケア
    • ウォーキングブリーチ
    • 他院で抜歯と言われた方へ
  • 症例一覧
    • 症例一覧(すべて)
    • インプラント症例
    • 審美症例
  • 歯科コラム
  • 料金表
  • 当院について
    • アクセス
    • 設備紹介
  • 院長紹介
  • 診療メニュー
    • 保険診療
    • 審美歯科
    • 歯茎下がり治療
    • 親知らず
    • ホワイトニング
    • 食いしばり/歯軋り
    • アイコン治療
    • すきっ歯
    • 入れ歯
    • 矯正歯科
      (ワイヤー・インビザライン)
    • インプラント
    • 歯周病
    • メンテナンス
    • ガミースマイル
    • リップアートメイク
      リップメラニンケア
    • ウォーキングブリーチ
    • 他院で抜歯と言われた方へ
  • 症例一覧
    • 症例一覧(すべて)
    • インプラント症例
    • 審美症例
  • 歯科コラム
  • 料金表
診療時間
月
火
水
木
金
土
日祝
10:00 - 19:15
⚫︎
⚫︎
⚫︎
ー
⚫︎
▲
ー

▲・・・10:00 - 18:00
【休診日】木曜日、日曜日、祝日

06-6225-735706-6225-7357
問診票問診票
06-6225-735706-6225-7357
WEB予約 WEB予約
LINE予約 LINE予約
case

症例一覧

  • TOP
  • 症例一覧
  • オフィスホワイトニング

自由診療による症例です
個人の感想であり、効果を保証するものではありません。

カテゴリー

  • すべて
  • 歯周外科治療
  • ガミースマイル
  • 審美歯科
  • オフィスホワイトニング
  • リップアートメイク
  • むし歯治療
  • 神経の無い歯の治療
  • アイコン治療(ホワイトスポット)
  • 部分矯正
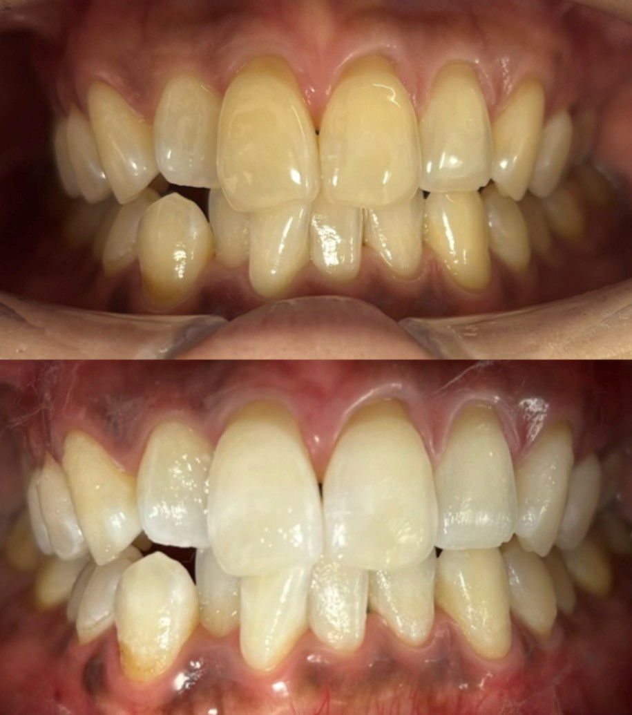
Instagramがきっかけでホワイトニング|40代男性の症例
オフィスホワイトニング
2025.10.30

Instagramがきっかけでホワイトニング|40代男性の症例

驚きの8トーンアップ|ホワイトニングがきっかけで矯正治療へ(20代男性)
オフィスホワイトニング
2025.10.30

驚きの8トーンアップ|ホワイトニングがきっかけで矯正治療へ(20代男性)

白い歯をさらに白く|ホワイトニング経験者の30代女性
オフィスホワイトニング
2025.09.22

白い歯をさらに白く|ホワイトニング経験者の30代女性

インビザライン矯正中のホワイトニング|20代男性の症例
オフィスホワイトニング
2025.09.22

インビザライン矯正中のホワイトニング|20代男性の症例

Instagramがきっかけの初めてのホワイトニング|40代男性の症例
オフィスホワイトニング
2025.09.22

Instagramがきっかけの初めてのホワイトニング|40代男性の症例

滋賀県から来院|ホワイトニングがきっかけで口元全体を改善(40代男性)
オフィスホワイトニング
2025.09.22

滋賀県から来院|ホワイトニングがきっかけで口元全体を改善(40代男性)

スタッフによるホワイトニング体験|B1からさらにトーンアップ
オフィスホワイトニング
2025.09.11

スタッフによるホワイトニング体験|B1からさらにトーンアップ

前へ 1 2 3

北新地で信頼できる歯医者をお探しの方へ

堂島RYO歯科・矯正クリニックは、北新地駅・西梅田駅から徒歩すぐの歯医者です。ビジネス街の中心にあり、お仕事の合間やお昼休みにも通いやすい立地にあります。当院は、地域の皆さまに寄り添う「通いやすく、安心できる歯科医院」を目指し、丁寧なカウンセリングと痛みに配慮した治療を心がけています。

虫歯治療や歯周病治療などの一般歯科はもちろん、セラミック治療・ホワイトニング・インプラント・矯正歯科などの自由診療にも対応しています。特に審美歯科治療では、自然で美しい仕上がりと機能性の両立を重視し、患者さま一人ひとりに最適な治療プランをご提案しています。

また、当院では「なるべく削らない・抜かない」ことを基本方針としており、できるだけ歯を残す治療を行っています。マイクロスコープやデジタルレントゲンなどの最新設備を導入し、精密で安全な治療を実現。歯科医師・歯科衛生士・スタッフが連携し、快適な環境で治療を受けていただけるよう努めています。
北新地エリアには多くの歯医者がありますが、堂島RYO歯科・矯正クリニックは「丁寧な説明」と「通いやすさ」にこだわる点が特徴です。初めての方でも不安を感じないよう、治療前にカウンセリングを行い、治療内容・費用・期間などをしっかりとご説明します。

お仕事帰りやお買い物のついでに立ち寄りやすい北新地・梅田エリアで、歯やお口の健康を守りたい方は、ぜひ当院にご相談ください。虫歯・歯周病の早期発見はもちろん、ホワイトニングや歯のメンテナンスまでトータルでサポートいたします。
北新地で信頼できる歯医者をお探しなら、堂島RYO歯科・矯正クリニックへお越しください。

〒530-0003 大阪府大阪市北区堂島2-1-40 新堂島ビル3F
・JR東西線「北新地駅」 11‑5出口から徒歩約4分
・地下鉄四つ橋線「西梅田駅」 8番出口から徒歩約3分
・京阪中之島線「渡辺橋駅」 7番出口から徒歩約3分

LINE予約 LINE予約 web予約 WEB予約 公式Instagram 公式Instagram 公式Instagram(リップ) 公式Instagram
(リップ)

お問い合わせ・お電話でのご予約はこちら

06-6225-735706-6225-7357
問診票問診票
診療時間
月
火
水
木
金
土
日祝
10:00 - 19:15
⚫︎
⚫︎
⚫︎
ー
⚫︎
▲
ー

▲・・・10:00 - 18:00
【休診日】木曜日、日曜日、祝日

page top
堂島RYO歯科・矯正クリニック
  • TOP
  • 当院について
  • 院長紹介
  • 症例一覧
  • 料金表
  • 歯科コラム
  • 問診票
  • 診療メニュー
    • 保険診療
    • 審美歯科
    • 歯茎下がり治療
    • 親知らず
    • 入れ歯
    • ホワイトニング
    • 食いしばり/歯軋り
    • アイコン治療
    • すきっ歯
    • 矯正歯科
      (インビザライン・ワイヤー)
    • インプラント
    • 歯周病
    • メンテナンス
    • ガミースマイル
    • リップアートメイク
      リップメラニンケア
    • ウォーキングブリーチ
    • 他院で抜歯と言われた方へ

© 2025 堂島RYO歯科・矯正クリニック All Rights Reserved.