審美歯科
審美歯科について
審美歯科は、むし歯などの病変を治すだけでなく、歯の色・形・並びや歯ぐきのライン、かみ合わせまで総合的に整え、口元の美しさと機能の両立を目指す治療領域です。
治療後に装着する被せ物(クラウン/インレー)は、目的や条件に応じて保険適用と自費診療から選択でき、審美性・耐久性・適合精度の希望に合わせた設計が可能です。
なお、当院が得意とするジルコニア治療をはじめ、メタルフリー素材による自然で長期安定した仕上がりもご提案しています。
保険適用と自費治療の違い
- 疾患の機能回復を標準的手順で行う
- 全国一律の公定価格で自己負担割合が明確
- 使用できる材料・方法に制限がある
- 見た目よりも必要十分の治療効果を重視
- 審美性・快適性・耐久性まで最適化する
- 医院ごとの自由価格
- 高機能材料・先端術式や個別設計が選べる
- 自然感・長期安定性を追求し、診療時間を厚く取りやすい
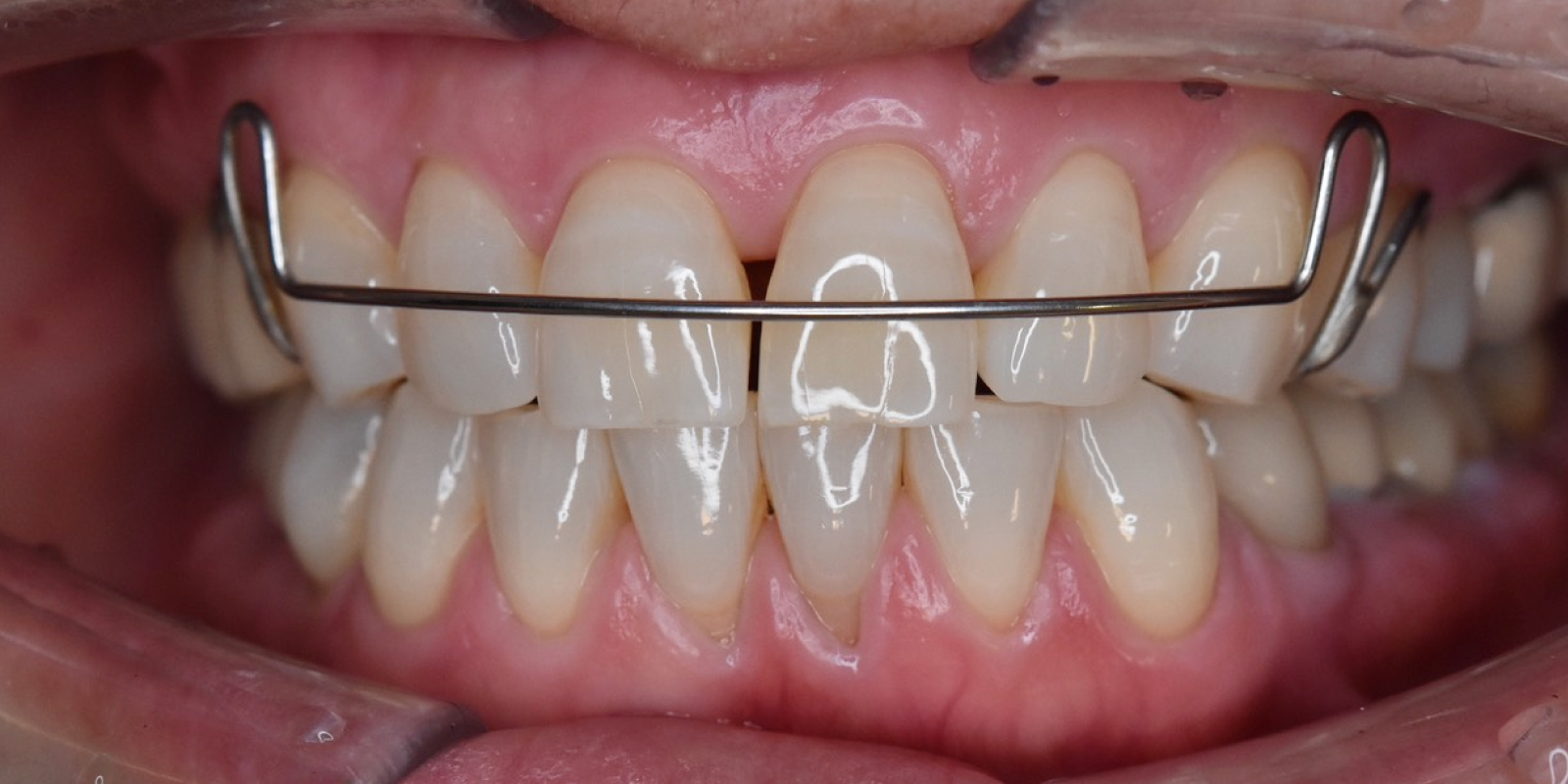
プチっと矯正
- 矯正治療後のすきっ歯(正中離開)
- 元々のすきっ歯
でお悩みの方、当院で作成する特殊な専用装置で治療できます。
| 治療期間 | およそ2.3ヶ月 通院2.3週間に1度のみ |
|---|---|
| 治療費用 | 55,000円(税込) 調整料3,300円 |
自費治療の「ジルコニア/セラミック」の魅力
ジルコニア治療は、“人工ダイヤモンド”とも呼ばれる酸化ジルコニウム(ジルコニア)を用い、むし歯などで削った歯を強く・美しく・長期安定へ導く自費の修復治療です。金属を使わないメタルフリーのため金属アレルギーの心配が少なく、歯ぐきの黒ずみ(メタルタトゥー)も起こりにくいのが特長です。近年は多層タイプの高透過ジルコニアの登場により、前歯でも自然な色調・透明感を再現しやすく、臼歯では抜群の高強度で割れ・欠け・摩耗に強い仕上がりが期待できます。
当院が得意とするジルコニア治療では、細部まで丁寧に仕上げ、装着感とお手入れのしやすさを重視しています。表面はなめらかで汚れや着色が付きにくく、色調も安定しやすいため、長く清潔感のある口元を保てます。
メタルフリーのオールセラミックは、金属を一切使わないため金属アレルギーのリスクに配慮でき、歯ぐきの縁が黒く見える心配もほとんどありません。素材の進化により強度も向上しており、前歯の自然な透明感から奥歯の咬む力まで、見た目と機能の両面でバランスよく対応します。周囲の歯色に合わせて色・明度・透明感を精密に再現でき、表面はなめらかでプラークや着色が付きにくく、日常のケアで美しさを保ちやすい点も特長です。
金属の詰め物・被せ物を白いセラミックへ置き換えることで、口腔内のトーンが整い、明るく清潔感のある口もとに。見た目の改善はもちろん、アレルギー対策や長期的な色の安定性まで見据えた選択肢としておすすめです。
セラミック治療でデンタルローンを利用した場合
1番人気の60回払い
6本 660,000円(税込)→月々12,900円(税込)
4本 498,000円(税込)→月々9,700円(税込)
当院はアプラスのデンタルローンを導入しています。
実質年率カード有り5.8%実質年率カード無し6.5%
「自費診療になると一括で払えない」
「納得のいく治療説明を受けたけど、経済的負担が大きい」
などなど、デンタルローンは皆さまのご都合に併せてご自身のペースでお支払いが可能です。
デンタルローン3つのポイント!
- お申し込みは簡単・スピーディー
- あなたにあったお支払いプラン
- 医療費控除が受けられる
| 対象治療 | インプラント治療、矯正治療、審美歯科治療など保険外の治療 |
|---|---|
| ご利用対象 | 18歳以上 |
| 連帯保証人 | 原則不要 |
| お支払い回数 | 3回〜120回まで可能 |
※詳細につきましては、当院までお問い合わせください。
堂島RYO歯科・矯正クリニックは、北新地駅・西梅田駅から徒歩すぐの歯医者です。ビジネス街の中心にあり、お仕事の合間やお昼休みにも通いやすい立地にあります。当院は、地域の皆さまに寄り添う「通いやすく、安心できる歯科医院」を目指し、丁寧なカウンセリングと痛みに配慮した治療を心がけています。
虫歯治療や歯周病治療などの一般歯科はもちろん、セラミック治療・ホワイトニング・インプラント・矯正歯科などの自由診療にも対応しています。特に審美歯科治療では、自然で美しい仕上がりと機能性の両立を重視し、患者さま一人ひとりに最適な治療プランをご提案しています。
また、当院では「なるべく削らない・抜かない」ことを基本方針としており、できるだけ歯を残す治療を行っています。マイクロスコープやデジタルレントゲンなどの最新設備を導入し、精密で安全な治療を実現。歯科医師・歯科衛生士・スタッフが連携し、快適な環境で治療を受けていただけるよう努めています。
北新地エリアには多くの歯医者がありますが、堂島RYO歯科・矯正クリニックは「丁寧な説明」と「通いやすさ」にこだわる点が特徴です。初めての方でも不安を感じないよう、治療前にカウンセリングを行い、治療内容・費用・期間などをしっかりとご説明します。
お仕事帰りやお買い物のついでに立ち寄りやすい北新地・梅田エリアで、歯やお口の健康を守りたい方は、ぜひ当院にご相談ください。虫歯・歯周病の早期発見はもちろん、ホワイトニングや歯のメンテナンスまでトータルでサポートいたします。
北新地で信頼できる歯医者をお探しなら、堂島RYO歯科・矯正クリニックへお越しください。
〒530-0003 大阪府大阪市北区堂島2-1-40 新堂島ビル3F
・JR東西線「北新地駅」 11‑5出口から徒歩約4分
・地下鉄四つ橋線「西梅田駅」 8番出口から徒歩約3分
・京阪中之島線「渡辺橋駅」 7番出口から徒歩約3分
お問い合わせ・お電話でのご予約はこちら
- 診療時間
- 月
- 火
- 水
- 木
- 金
- 土
- 日祝
- 10:00 - 19:15
- ⚫︎
- ⚫︎
- ⚫︎
- ー
- ⚫︎
- ▲
- ー
▲・・・10:00 - 18:00
【休診日】木曜日、日曜日、祝日






