オフィスホワイトニング
2026.04.09

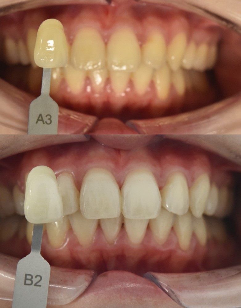
結婚式前でも間に合う?ホワイトニング症例をご紹介

「結婚式までに歯を白くしたい」
「ホワイトニングってどれくらい変わるの?」

このようなご相談はとても多くいただきます。

今回は実際の患者様の症例をもとに、ホワイトニングの効果や感じ方の違いをご紹介します。

ホワイトニングサロンでの経験がある患者様。
結婚式を2週間後に控え、「しっかり白くしたい」とご来院されました。

近隣の歯科医院も検討されたそうですが、症例数に不安を感じ、Google検索で当院を見つけていただきました。

施術は
7分 → 10分 → 10分

結果は
「全然違う!すごく白くなった!」と大変喜んでいただけました。

ホワイトニングの流れや詳細はこちらをご覧ください

20代女性のホワイトニング前と後の変化、自然な白さの歯
20代女性のホワイトニング後の自然な白さの歯
治療期間 即日
治療費用
主訴 結婚式までに白くしたい
治療内容 オフィスホワイトニング