オフィスホワイトニング
2026.01.22

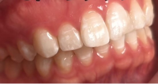
20代女性の患者さまです。

現在、京都の歯科医院で
インビザライン矯正治療中とのことでした。

以前からホワイトニングにも興味がありましたが、
矯正中ということもあり
ホワイトニングをしてくれる歯科医院が見つからず
ずっと我慢していたそうです。

そんな中、当院の情報を見つけてくださり、
京都からわざわざ来院されました。

インビザライン矯正中の歯には
**アタッチメント(小さな突起)**が付いているため、
その部分にはホワイトニングの光が届きにくく、
色むらが出る可能性があります。

そのため、

・アタッチメント部分は照射が難しいこと
・矯正終了後に色むらが出る可能性があること

などのデメリットも含めて丁寧にカウンセリングを行いました。

患者さまも内容にご納得されたうえで、
ホワイトニング施術を行いました。

施術後は、
6トーンのトーンアップという大きな変化が見られ、
患者さまもとても驚かれていました。

「ずっと我慢していたホワイトニングができて嬉しいです」

と、喜んでいただくことができました。

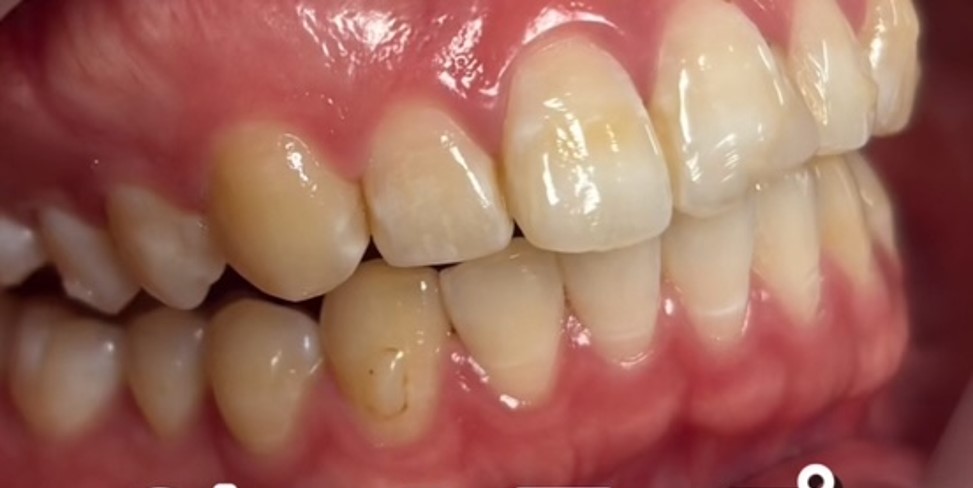
今後、矯正治療が終了して
アタッチメントが外れた後には、
その部分にもホワイトニングを行うことで
より均一な白さに整えることが可能です。

矯正中でもホワイトニングを希望される方は多く、
状況に応じて施術が可能な場合もあります。

気になる方は、お気軽にご相談ください。

当院ではインビザライン矯正も行っています、詳しくはこちら

症例画像
症例画像
治療期間 1回(7分×7分×7分)
治療費用 9800
主訴 歯の黄ばみ、ホワイトニング施術をした事がない
治療内容 オフィスホワイトニング
歯質低下による破折リスク、および治療後の後戻り