オフィスホワイトニング
2026.03.04

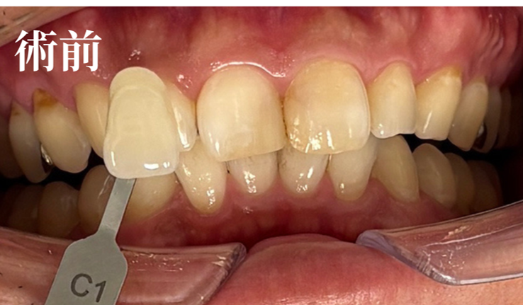
40代男性の患者さまです。

「歯の色を少し明るくしたい」

というご希望で来院され、今回が初めてのホワイトニングでした。

初めての施術ということもあり、

痛みやしみる症状を心配されていましたが、

施術中は特に痛みもなく、リラックスして受けていただくことができました。

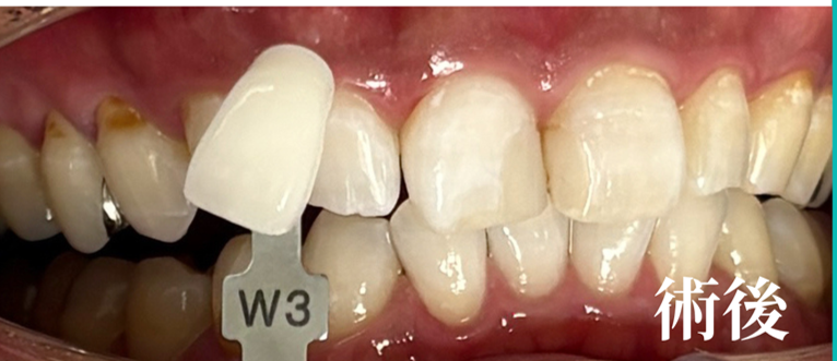
ホワイトニング終了後、鏡で歯の色を確認されると

「思ったより白くなりましたね。

もっと白くしてみたいです。」

と、嬉しいお言葉をいただきました。

初めてホワイトニングを体験されたことで、

白い歯へのモチベーションもさらに高まったご様子でした。

ホワイトニングは、歯を削ることなく

自然な白さを目指すことができる治療です。

歯の色が気になる方や、ホワイトニングが初めての方も

安心してご相談ください。

実際の症例一覧はこちら

症例画像
症例画像
治療期間 120分
治療費用 13200円
主訴
治療内容 オフィスホワイトニング
副作用・リスク→知覚過敏のようなしみ、痛み