オフィスホワイトニング
2025.11.03

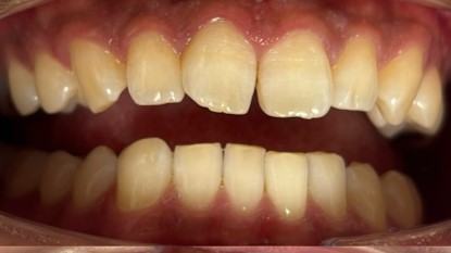
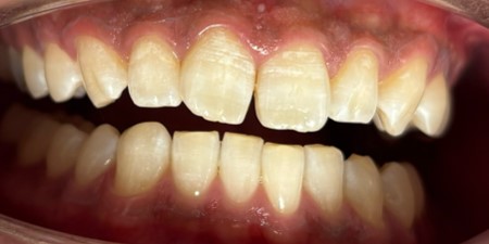
20代男性の患者さまです。

定期的に3ヶ月ごとの検診とホワイトニングを受けていただいており、
今回もホワイトニングのリタッチで来院されました。

ホワイトニングは時間の経過とともに
少しずつ色戻りが起こることがありますが、
患者さまは定期的にメンテナンスを続けているため、
色落ちの度合いも比較的少ない状態を保たれていました。

今回のリタッチでも歯の色を整え、
さらに白さのトーンがアップ。

継続してケアを行っていることで、
普段から自然で明るい白い歯をキープされています。

ホワイトニングは一度だけで終わりではなく、
定期的なメンテナンスやリタッチを行うことで
白さを長く保つことができます。

これからも定期検診とホワイトニングを続けながら、
美しい白い歯を維持していく予定です。

歯の白さを長く保ちたい方や、
ホワイトニング後のリタッチをご希望の方は
お気軽にご相談ください。

ホワイトニングについて詳しくはこちら

症例画像
症例画像
症例画像
治療期間 1日(7分×10分×10分)
治療費用 9800円
主訴 海外の貼るタイプのホワイトニングをしていたけど、歯に悪いと思いオフィスホワイトニングに変えたい
治療内容 オフィスホワイトニング
副作用・リスク→知覚過敏のようなしみ、痛み