オフィスホワイトニング
2025.09.22

40代男性の患者さまです。

当院は大阪・北新地という立地もあり、
遠方から目的を持って来院される患者さまも多くいらっしゃいます。

今回の患者さまは、
滋賀県からInstagramの投稿を見て
ホワイトニングを希望され来院されました。

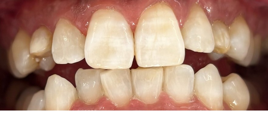
これまでにホームホワイトニングの経験はあったそうですが、
歯科医院で行うオフィスホワイトニングは初めてとのことでした。

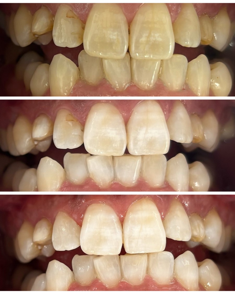
施術後、鏡で歯の色を確認すると
「こんなに変わるんですね」と
トーンアップの効果にとても驚かれていました。

ホワイトニングによって歯全体が明るくなったことで、
これまで気にならなかった初期のむし歯による変色
少し目立つようになりました。

そこで患者さまとご相談のうえ、
その部分のむし歯治療も行うことになりました。

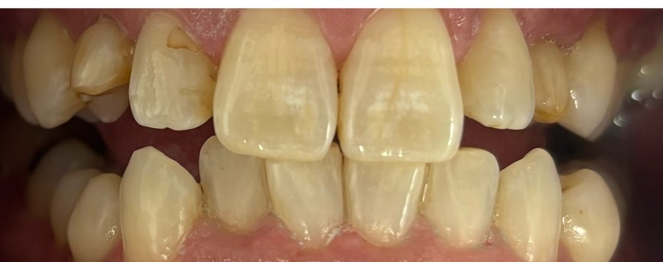
結果として

初診 → ホワイトニング → むし歯治療

という流れで、
口元全体がよりきれいに整いました。

患者さまは大阪に来る機会もあるとのことで、
今後は3か月ごとのメンテナンスにも通っていただく予定です。

遠方からでも、目的を持ってご来院いただけることは
私たちにとっても大変嬉しいことです。

歯の白さや口元の印象が気になる方は、
お気軽にご相談ください。

症例画像
症例画像
症例画像
症例画像
治療期間 1回(7分×10分×8分)
治療費用 9800
主訴 歯の着色と黄ばみ、ホワイトニングは歯に貼るシートだけした事あるが、オフィスホワイトニングをした事がない
治療内容 オフィスホワイトニング施術
副作用リスク→知覚過敏のようなしみ、痛み。