アイコン治療(ホワイトスポット)
2025.12.10

「昔から前歯に白い点があって、ずっと気になっていました。」

そうお話しくださった患者さま。
前歯の表面にある白い斑点(ホワイトスポット)が気になっていたそうです。

これまでかかりつけの歯科医院でも相談されたそうですが、
「治療は難しい」と言われてしまい、
さらにホワイトニングをすると目立つ可能性があるとも説明されていたため、
長い間どうすることもできなかったとのことでした。

それでも
「どうしてもホワイトニングをして歯をきれいにしたい」
という思いから、当院へ来院してくださいました。

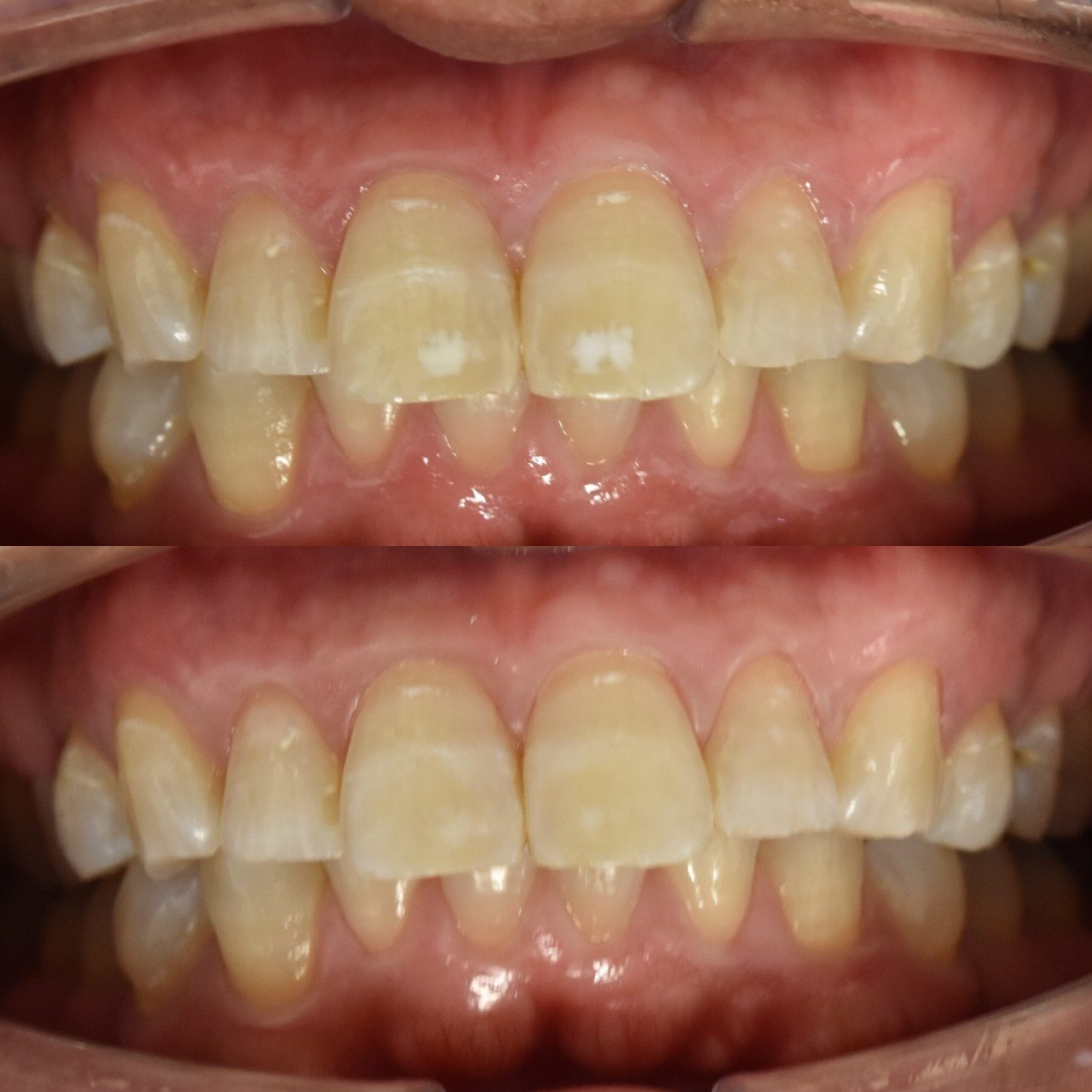
まずはホワイトニングを行い、歯全体のトーンを整えました。
すると事前にお伝えしていた通り、
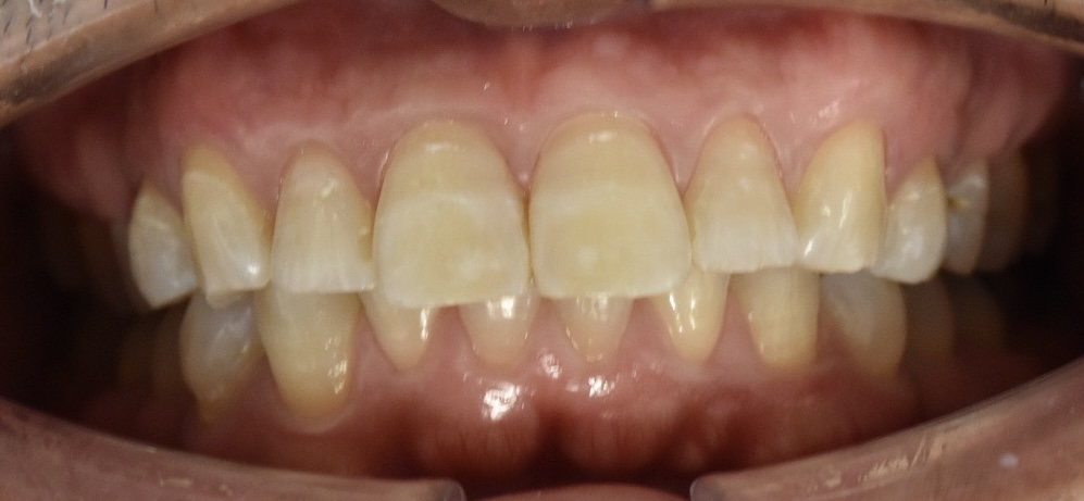
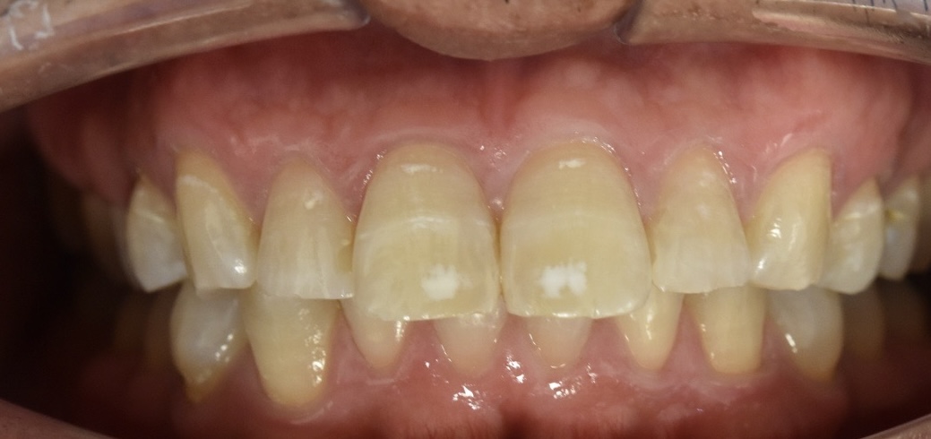
ホワイトスポットが少し目立つ状態になりました。

そこで、ホワイトスポットを目立ちにくくする
アイコン治療(Icon治療)をご提案しました。

患者さまも「費用も思っていたより高くないなら試してみたい」と
治療を希望され、施術を行うことになりました。

治療後、鏡を見た患者さまは

「ずっと気になっていた白い点が、自然になじんでいますね。」

と、とても喜んでくださいました。

これまでホワイトスポットが気になり、
ホワイトニングをすることも諦めていたそうですが、
今では安心してホワイトニングも続けられるようになりました。

「これからもホワイトニングで通いたいです。」
と嬉しいお言葉もいただきました。

前歯の白い斑点(ホワイトスポット)は、
治療方法によって目立ちにくくできる場合があります。

歯の白濁やホワイトスポットでお悩みの方は、
お気軽にご相談ください。

アイコン治療の解説はこちら

症例画像
症例画像
症例画像
治療期間 40分
治療費用 11,000円
主訴 ホワイトニング後に目立ってしまった白濁(ホワイトスポット)を治療したい
治療内容 アイコン治療
副作用・リスク→ 一時的な知覚過敏、経年変化による色調の後戻りや変色