オフィスホワイトニング
2026.03.04

40代女性の患者さまのホワイトニング症例をご紹介します。

患者さまはこれまでに

オフィスホワイトニング・ホームホワイトニングともに経験がある方でした。

もともと歯の色も明るく、

Wシェードの白い状態からのスタートでした。

「すでに白い歯だけど、さらに白くなるのかな?」

そんな期待と少しの不安を持ちながら、当院でホワイトニングを受けてくださいました。

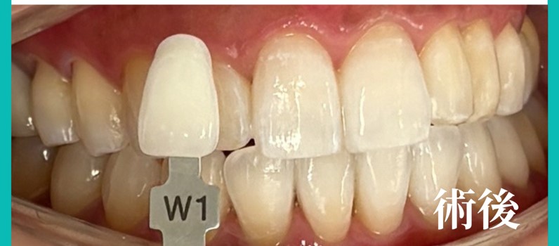
施術後は、

さらに2トーンアップ。

もともと白かった歯が、

より透明感のある自然な白さになりました。

鏡を見た患者さまも

「さらに白くなりましたね」と、とても喜んでくださいました。

ホワイトニングは

元々歯が白い方でも、さらに美しい白さに整えることが可能です。

北新地・堂島・西梅田エリアでホワイトニングをご検討の方は、

お気軽にご相談ください。

今回のようなホワイトニング症例はこちら

症例画像
症例画像
症例画像
治療期間 即日
治療費用 13200円
主訴 白さのトーンアップをしたい
治療内容 オフィスホワイトニング
副作用・リスクは知覚過敏のようなしみ