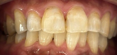
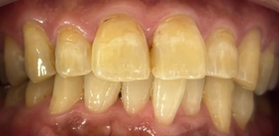
ホワイトニング症例
堂島RYO歯科・矯正クリニックは、北新地駅・西梅田駅から徒歩すぐの歯医者です。ビジネス街の中心にあり、お仕事の合間やお昼休みにも通いやすい立地にあります。当院は、地域の皆さまに寄り添う「通いやすく、安心できる歯科医院」を目指し、丁寧なカウンセリングと痛みに配慮した治療を心がけています。
虫歯治療や歯周病治療などの一般歯科はもちろん、セラミック治療・ホワイトニング・インプラント・矯正歯科などの自由診療にも対応しています。特に審美歯科治療では、自然で美しい仕上がりと機能性の両立を重視し、患者さま一人ひとりに最適な治療プランをご提案しています。
また、当院では「なるべく削らない・抜かない」ことを基本方針としており、できるだけ歯を残す治療を行っています。マイクロスコープやデジタルレントゲンなどの最新設備を導入し、精密で安全な治療を実現。歯科医師・歯科衛生士・スタッフが連携し、快適な環境で治療を受けていただけるよう努めています。
北新地エリアには多くの歯医者がありますが、堂島RYO歯科・矯正クリニックは「丁寧な説明」と「通いやすさ」にこだわる点が特徴です。初めての方でも不安を感じないよう、治療前にカウンセリングを行い、治療内容・費用・期間などをしっかりとご説明します。
お仕事帰りやお買い物のついでに立ち寄りやすい北新地・梅田エリアで、歯やお口の健康を守りたい方は、ぜひ当院にご相談ください。虫歯・歯周病の早期発見はもちろん、ホワイトニングや歯のメンテナンスまでトータルでサポートいたします。
北新地で信頼できる歯医者をお探しなら、堂島RYO歯科・矯正クリニックへお越しください。
〒530-0003 大阪府大阪市北区堂島2-1-40 新堂島ビル3F
・JR東西線「北新地駅」 11‑5出口から徒歩約4分
・地下鉄四つ橋線「西梅田駅」 8番出口から徒歩約3分
・京阪中之島線「渡辺橋駅」 7番出口から徒歩約3分
お問い合わせ・お電話でのご予約はこちら
- 診療時間
- 月
- 火
- 水
- 木
- 金
- 土
- 日祝
- 10:00 - 19:15
- ⚫︎
- ⚫︎
- ⚫︎
- ー
- ⚫︎
- ▲
- ー
▲・・・10:00 - 18:00
【休診日】木曜日、日曜日、祝日