オフィスホワイトニング
2025.10.30

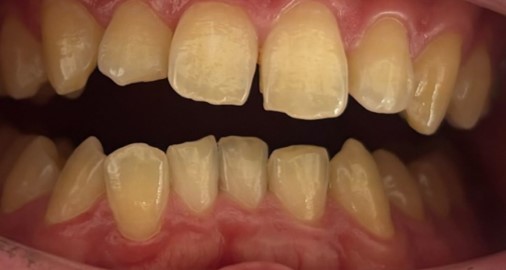
20代男性の患者さまです。

これまでホワイトニングの経験はなく、

「歯をもう少し白くしたい」という思いから

初めてのホワイトニングで来院されました。

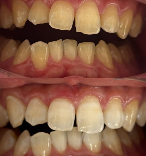
施術前に歯の色を確認し、

平均的には3〜4トーンほどのトーンアップが多いことをご説明しました。

しかし施術後、鏡を見て

患者さまもスタッフも驚くほどの結果に。

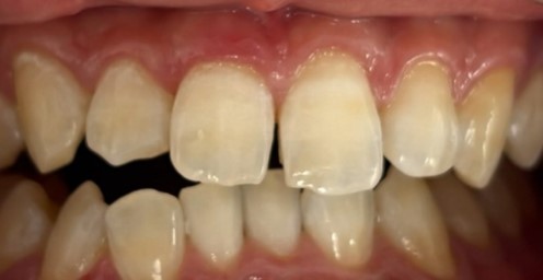
なんと8トーンアップという大きな変化があり、

明るく自然な白い歯になりました。

患者さまも

「こんなに白くなるとは思っていませんでした」

と、とても喜んでいただきました。

ホワイトニングで歯が白くなったことで、

今まであまり気にならなかった歯並びも気になるようになり、

その後、矯正相談を行い

インビザライン矯正をスタートすることになりました。

ホワイトニングをきっかけに

口元への意識が高まり、

矯正治療を始める方も少なくありません。

歯を白くすることで、

口元全体の美しさや健康への意識が高まることもあります。

ホワイトニングや歯並びでお悩みの方は、

お気軽にご相談ください。

症例画像
症例画像
症例画像
治療期間 1日1回(7分×10分×10分)
治療費用 9800円
主訴
治療内容 オフィスホワイトニング
副作用リスク→知覚過敏のようなしみ、痛み。