「前歯の色が気になる」
「形が少し不揃いで、口元に自信が持てない」
このようなお悩みは、年齢に関係なく多くの方が抱えています。特に前歯はお顔の印象を大きく左右するため、小さな違和感でも気になりやすい部分です。
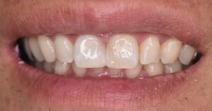
今回は、40代男性の患者さまで「前歯の色と形を整えたい」というご相談をいただいた症例をご紹介します。

■ ご来院時のお悩み
患者さまは、
・前歯の色がくすんで見える
・歯の形がわずかに不揃い
といった点を気にされていました。

日常生活には支障はないものの、人と話すときや写真に写るときに気になるとのことでした。
このように、「機能的には問題ないが見た目を改善したい」というご相談は非常に多く、審美歯科の得意とする分野です。
■ 治療方法について
本症例では、見た目のバランスを整えるために
「ホワイトニング」と「ダイレクトボンディング」を組み合わせて治療を行いました。


◎ホワイトニング
まずは歯全体のトーンアップを行います。
歯の色が明るくなることで、清潔感や若々しい印象を与えることができます。
また、先にホワイトニングを行うことで、最終的な色味に合わせて形の調整ができるため、より自然な仕上がりになります。
◎ダイレクトボンディング
次に、前歯の形を整えるためにダイレクトボンディングを行いました。
ダイレクトボンディングとは、歯科用の高品質な樹脂(コンポジットレジン)を歯に直接盛り足し、形や見た目を整える審美治療です。
歯を削る量を最小限に抑えながら、天然歯に近い自然な仕上がりを再現できるのが特徴です。
・すき間の改善
・欠けた部分の修復
・前歯の形の微調整
などに適しており、短期間で見た目を改善することが可能です。
■ 保険のCR(コンポジットレジン)との違い
「レジンで治す」という点では、保険診療で行うCR(コンポジットレジン修復)と似ている部分もありますが、目的と仕上がりには大きな違いがあります。
保険のCRは、主に虫歯治療を目的としており、
・機能回復を重視
・使用できる材料や時間に制限がある
・色や形の細かい再現には限界がある
といった特徴があります。
一方、ダイレクトボンディング(自費診療)は、審美性を重視した治療のため、
・複数の色調のレジンを使い分ける
・透明感やグラデーションまで再現
・細部まで形をデザイン
といった、より精密で美しさにこだわった仕上がりが可能です。
■ 自費治療である理由
ダイレクトボンディングが自費治療となる理由は、「見た目の美しさ」と「精密さ」を追求するためです。
・色味を細かく調整するための材料選択
・歯の形をミリ単位で整える技術
・自然な光の透過性を再現する layering(積層技術)
これらには、時間と高度な技術が必要となります。
単に「詰める治療」ではなく、歯をデザインする治療であるため、保険診療とは別の位置づけとなります。
■ 治療結果
治療回数はわずか2回。
ホワイトニングで全体のトーンが明るくなり、さらにダイレクトボンディングで前歯の形が整ったことで、口元全体の印象が大きく改善しました。
患者さまからも「とても満足しています」と嬉しいお声をいただいております。
■ 費用について
・ホワイトニング:13,200円
・ダイレクトボンディング:75,000円
※お口の状態により、治療回数や費用は変動する場合があります。
■ よくあるご質問
Q. ダイレクトボンディングはどれくらい持ちますか?
A. 使用状況や噛み合わせにもよりますが、一般的には数年単位での使用が可能です。定期的なメンテナンスを行うことで、より長くきれいな状態を保つことができます。
Q. 変色することはありますか?
A. セラミックと比較すると、経年的に多少の着色が出る場合があります。ただし、クリーニングや再研磨によって改善できるケースも多く、大きな問題になることは少ないです。
Q. セラミックとの違いは何ですか?
A. セラミックはより変色しにくく耐久性に優れていますが、その分歯を削る量が多くなる傾向があります。一方、ダイレクトボンディングは歯を削る量を最小限に抑えながら、自然な見た目を再現できる点が大きなメリットです。
■ この症例のポイント
今回の症例で重要なのは、「色」と「形」を分けて考えた点です。
ホワイトニングは色を改善する治療ですが、形までは変えることができません。
一方で、ダイレクトボンディングは形を整えることはできますが、歯そのものの色を大きく変えることはできません。
そのため、
①ホワイトニングでベースの色を整える
②ダイレクトボンディングで形を仕上げる
という順番で治療を行うことで、より自然でバランスの取れた仕上がりになります。
■ 前歯の印象は「色×形」で決まる
前歯は、顔全体の印象に直結する重要なパーツです。
・歯が白くなるだけで清潔感がアップ
・形が整うことでバランスの良い口元に
・結果として若々しい印象に
このように、「色」と「形」の両方を整えることで、より大きな変化を実感していただけます。
■ こんな方におすすめ
・歯の色が気になる方
・前歯の形が気になる方
・短期間で印象を変えたい方
・自然な仕上がりを希望される方
■ まとめ
今回の症例では、ホワイトニングとダイレクトボンディングを組み合わせることで、短期間で見た目の改善を行うことができました。
「歯の色だけ」「形だけ」ではなく、トータルでバランスを整えることが大切です。
前歯の見た目でお悩みの方は、ぜひ一度ご相談ください。
副作用・リスクについて
時間の経過による変色や艶の消失、耐久性が低く欠けたり外れたりする可能性があること
北新地・堂島・西梅田で歯医者をお探しの方へ
北新地・堂島・西梅田で
歯医者をお探しの方へ
堂島RYO歯科・矯正クリニックは虫歯治療や歯周病治療をはじめ、矯正歯科やインプラント、予防歯科まで幅広く対応しています。
北新地駅・西梅田駅から徒歩圏内、堂島エリアからも通いやすく、お昼休みの短い時間でも通院いただける便利な歯科医院です。
「できるだけ痛みを抑えた治療」「丁寧な説明」「通いやすい立地」を大切にしています。