Implant case report Vol.03

隣の歯を削らず、自然な仕上がりを選んだケース

インプラント症例|20代男性 左上の違和感|隣の歯を削らずに治療

患者さま
20歳 男性
主訴
「左上の歯に違和感があり、噛むと痛みがある。時々歯ぐきも腫れてくる」 そのようなお悩みで、20代後半の男性患者さまが来院されました。 精密検査の結果、歯の内部まで感染が進行しており、保存が難しい状態と診断しました。患者さまとご相談の上、抜歯を行う方針となりました。 抜歯後の治療法として、ブリッジ・入れ歯・インプラントの3つの選択肢をご説明しています。
治療部位
右上
治療期間
約10ヶ月
治療費用
466,000円(税込)

※ インプラント治療にはリスク・副作用が伴う場合があります。

clinical photos

インプラント治療 Before/After

今回は抜歯後の骨の状態を踏まえ、長期的に安定するよう段階的な治療計画を立てました。骨の治癒を十分に待つことで、インプラントがしっかりと定着する環境を整えています。

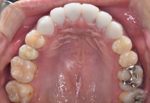
インプラント症例(20代男性)左上奥歯の治療後。隣の歯を削らず補綴した状態
インプラント症例(20代男性)左上奥歯の術前口腔内写真。違和感と痛みがあったケース
Before
After
インプラント治療後のCT画像

インプラント治療埋入後のCT写真

patient's concern

ご来院のきっかけ

「左上の歯に違和感があって、噛むと痛いし、時々歯ぐきも腫れてくる…」という事で来院された20代後半の男性患者さま。精密検査を行ったところ、歯の内部まで感染が進行しており、保存が難しい状態と診断しました。患者さまとご相談の上、抜歯を行う方針となりました。

治療前のお悩み・不安
  • 左上の歯に違和感がある
  • 噛むと違和感があり、時々歯ぐきが腫れる

why implant

なぜインプラントを選んだのか

患者さまが特に気にされていたのは、「健康な隣の歯を削りたくない」という点でした。

ブリッジでは両隣の歯を削る必要がありますが、インプラントは周囲の歯に負担をかけずに欠損部を補う治療法です。

それぞれの治療法の特徴やメリット・デメリットについてご説明したうえで、将来的な負担や安定性も踏まえ、インプラント治療を選択されました。

treatment flow

治療の流れ(全4回・10ヶ月)

  1. Step 1

    抜歯・ソケットプリザベーション

    感染した歯を抜歯し、同時にソケットプリザベーション(抜歯窩保存術)を行いました。抜歯後は放置すると骨が吸収されてしまうため、将来のインプラント埋入に備えて骨量を保存する処置です。この処置を行うことで、その後の治療の安定性が大きく高まります。

  2. Step 2

    骨の治癒期間(約6ヶ月)

    骨がしっかりと硬化するまで待機します。この期間を十分に取ることが、インプラントを長期的に安定させるために欠かせません。焦らず骨の回復を見極めることが、治療の質を左右する重要なプロセスです。

  3. Step 3

    インプラント埋入(ソケットリフト併用)

    骨の治癒を確認後、インプラント体を埋入しました。今回は上顎の骨の厚みを確保するため、ソケットリフトを併用しています。骨量が不足している場合でも、この処置によって安全かつ安定したインプラント埋入が可能になります。

  4. Step 4

    上部構造(最終補綴物)装着

    最終的な人工歯を装着し、噛み合わせを丁寧に調整して治療完了です。色・形・噛み心地を確認しながら仕上げ、周囲の歯と自然に馴染む見た目を実現しました。

  5. Step 5

    副作用・リスク

    インプラント治療は外科処置を伴うため、術後に腫れ・痛み・内出血などが生じることがあります。
    また、感染や出血、骨の状態によっては適応とならない場合があります。

    下顎では神経損傷によるしびれ、上顎では上顎洞炎などのリスクが伴うことがあります。

    治療後はインプラント周囲炎や、インプラントの脱落、補綴物の緩み・破損などが起こる可能性があり、定期的なメンテナンスが重要です。

patient's voice

患者さまの声

外科処置は思っていたより痛くなかったです。最終の歯も色が分からないくらい自然で良い感じです。

※個人の感想であり、効果を保証するものではありません。

インプラントが「怖い」と感じている方へ

初めての方の不安は当然です。
まずはカウンセリングで、治療の流れや費用・リスクを
しっかりご説明します。無理な勧誘は一切行いません。

堂島RYO歯科・矯正クリニックは、北新地駅・西梅田駅から徒歩すぐの歯医者です。ビジネス街の中心にあり、お仕事の合間やお昼休みにも通いやすい立地にあります。当院は、地域の皆さまに寄り添う「通いやすく、安心できる歯科医院」を目指し、丁寧なカウンセリングと痛みに配慮した治療を心がけています。

虫歯治療や歯周病治療などの一般歯科はもちろん、セラミック治療・ホワイトニング・インプラント・矯正歯科などの自由診療にも対応しています。特に審美歯科治療では、自然で美しい仕上がりと機能性の両立を重視し、患者さま一人ひとりに最適な治療プランをご提案しています。

また、当院では「なるべく削らない・抜かない」ことを基本方針としており、できるだけ歯を残す治療を行っています。マイクロスコープやデジタルレントゲンなどの最新設備を導入し、精密で安全な治療を実現。歯科医師・歯科衛生士・スタッフが連携し、快適な環境で治療を受けていただけるよう努めています。
北新地エリアには多くの歯医者がありますが、堂島RYO歯科・矯正クリニックは「丁寧な説明」と「通いやすさ」にこだわる点が特徴です。初めての方でも不安を感じないよう、治療前にカウンセリングを行い、治療内容・費用・期間などをしっかりとご説明します。

お仕事帰りやお買い物のついでに立ち寄りやすい北新地・梅田エリアで、歯やお口の健康を守りたい方は、ぜひ当院にご相談ください。虫歯・歯周病の早期発見はもちろん、ホワイトニングや歯のメンテナンスまでトータルでサポートいたします。
北新地で信頼できる歯医者をお探しなら、堂島RYO歯科・矯正クリニックへお越しください。

〒530-0003 大阪府大阪市北区堂島2-1-40 新堂島ビル3F
・JR東西線「北新地駅」 11‑5出口から徒歩約4分
・地下鉄四つ橋線「西梅田駅」 8番出口から徒歩約3分
・京阪中之島線「渡辺橋駅」 7番出口から徒歩約3分

お問い合わせ・お電話でのご予約はこちら

診療時間
日祝
10:00 - 19:15
⚫︎
⚫︎
⚫︎
⚫︎

・・・10:00 - 18:00
【休診日】木曜日、日曜日、祝日