Implant case report Vol.02

ブリッジとインプラントで迷われた患者さまが、インプラントを選択された症例をご紹介

ブリッジとインプラントで迷った症例|選択理由と治療例(大阪)

患者さま
40歳 男性
主訴
奥歯の欠損により、噛みにくさを感じて来院されました。 治療方法として、ブリッジとインプラントのどちらが良いか相談したいとのご希望でした。
治療部位
右下 最後臼歯
治療期間
約4ヶ月
治療費用
466,000円(税込)

※ インプラント治療にはリスク・副作用が伴う場合があります。

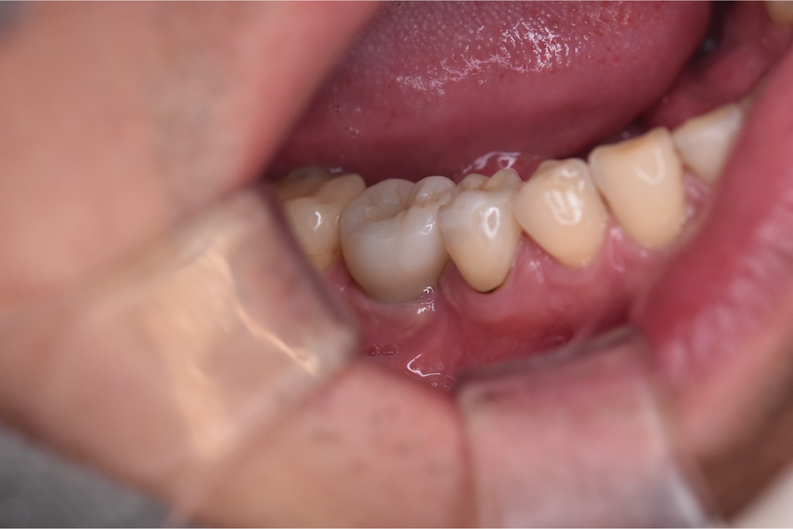
clinical photos

インプラント治療 Before/After

自然な見た目としっかりした噛み心地のインプラントを装着することができました。

40代のインプラント治療後の口腔内写真
インプラント症例(60代男性)奥歯欠損の術前口腔内写真。ブリッジとインプラントで検討したケース
Before
After

patient's concern

ご来院のきっかけ

「右下の歯が割れていると言われて…」という事で来院された40歳の男性患者さま。右下の奥歯は噛むたびに痛みがあり、食事のたびに違和感を感じておられました。診査の結果、歯は大きく破折しており保存が難しい状態。抜歯が必要なケースと診断しました。

治療前のお悩み・不安
  • 右下の歯が割れている
  • 右下で噛むと痛い
  • 周囲の歯に負担をかけたくない

why implant

なぜインプラントを選んだのか

抜歯後の選択肢として、ブリッジとインプラントをご説明しました。患者さまが最も気にされていたのは、「隣の健康な歯を削らなければならない」という点でした。
「これまでほとんど歯を削ったことがないので、できれば削りたくない」
そのお気持ちを丁寧にお聞きした上で、周囲の歯に一切負担をかけないインプラント治療をお選びいただきました。

歯を失った際の治療として、「ブリッジ」と「インプラント」で迷われる方は多くいらっしゃいます。

本症例でも、患者さまは両方の治療方法について検討されたうえで、最終的にインプラントを選択されました。

それぞれの特徴やメリット・デメリットを踏まえたうえでの選択について、実際の症例をもとにご紹介します。

treatment flow

治療の流れ(全6回・約4ヶ月)

  1. Step 1

    抜歯・ソケットプリザベーション

    破折した歯を抜歯し、同時にソケットプリザベーション(骨保存処置)を行いました。抜歯後はそのままにしておくと骨が吸収されてしまうため、将来のインプラント埋入に備えて骨量を保存する処置です。この一手間が、その後の治療の精度と安定性を大きく左右します。

  2. Step 2

    抜糸

    抜歯部位の治癒状態を確認し、縫合糸を除去します。腫れや痛みの状態もこの時点でチェックし、次のステップへ進める状態かを丁寧に確認します。

  3. Step 3

    インプラント埋入(約3ヶ月後)

    骨の十分な回復を確認した上で、インプラント体を顎骨に埋入します。ソケットプリザベーションによって骨がしっかり保たれているため、安定した埋入が可能です。局所麻酔下で行うため、術中の痛みを最小限に抑えます。

  4. Step 4

    印象採得(型取り)

    インプラントが顎骨にしっかり結合したことを確認後、最終補綴物の型取りを行います。噛み合わせや隣の歯との位置関係を精密に計測し、自然な仕上がりを目指します。

  5. Step 5

    仮歯セット・歯磨きチェック

    最終補綴物の製作前に仮歯を装着します。実際に噛んでいただきながら噛み合わせの調整を行うとともに、インプラント周囲の正しいブラッシング方法をお伝えします。清掃状態が整ってから最終補綴物の製作へ進みます。

  6. Step 6

    最終補綴物セット(治療完了)

    製作した最終クラウンをインプラントに装着し、治療完了です。見た目・噛み合わせ・清掃のしやすさを最終確認し、ご満足いただけるまで丁寧に調整します。

  7. Step 7

    副作用・リスク

    インプラント治療は外科処置を伴うため、術後に腫れ・痛み・内出血などが生じることがあります。
    また、感染や出血、骨の状態によっては適応とならない場合があります。

    下顎では神経損傷によるしびれ、上顎では上顎洞炎などのリスクが伴うことがあります。

    治療後はインプラント周囲炎や、インプラントの脱落、補綴物の緩み・破損などが起こる可能性があり、定期的なメンテナンスが重要です。

patient's voice

患者さまの声

【インプラント前に不安だったこと】

強い噛み合わせが原因で、奥歯の根管治療を繰り返していましたが、なかなか改善せず悩んでいました。
最終的にインプラントを選択しましたが、「顎に穴を開ける処置」と聞き、痛みに対する不安がありました。

実際の治療では、術中の痛みはほとんど感じず、落ち着いて手術を受けることができました。

【カウンセリングで分からなかったことはありますか?】

事前のカウンセリングでは、治療の流れやリスクについて丁寧に説明を受けました。
疑問点にも一つひとつ答えていただき、不安を軽減した状態で治療に進むことができました。

【治療後の痛みや違和感はありますか?】

術後の痛みや腫れは大きくはなく、日常生活に大きな支障はありませんでした。
現在はしっかり噛めるようになり、見た目も自然な仕上がりだと感じています。
※治療の感想には個人差があります。

※個人の感想であり、効果を保証するものではありません。

インプラントが「怖い」と感じている方へ

初めての方の不安は当然です。
まずはカウンセリングで、治療の流れや費用・リスクを
しっかりご説明します。無理な勧誘は一切行いません。

堂島RYO歯科・矯正クリニックは、北新地駅・西梅田駅から徒歩すぐの歯医者です。ビジネス街の中心にあり、お仕事の合間やお昼休みにも通いやすい立地にあります。当院は、地域の皆さまに寄り添う「通いやすく、安心できる歯科医院」を目指し、丁寧なカウンセリングと痛みに配慮した治療を心がけています。

虫歯治療や歯周病治療などの一般歯科はもちろん、セラミック治療・ホワイトニング・インプラント・矯正歯科などの自由診療にも対応しています。特に審美歯科治療では、自然で美しい仕上がりと機能性の両立を重視し、患者さま一人ひとりに最適な治療プランをご提案しています。

また、当院では「なるべく削らない・抜かない」ことを基本方針としており、できるだけ歯を残す治療を行っています。マイクロスコープやデジタルレントゲンなどの最新設備を導入し、精密で安全な治療を実現。歯科医師・歯科衛生士・スタッフが連携し、快適な環境で治療を受けていただけるよう努めています。
北新地エリアには多くの歯医者がありますが、堂島RYO歯科・矯正クリニックは「丁寧な説明」と「通いやすさ」にこだわる点が特徴です。初めての方でも不安を感じないよう、治療前にカウンセリングを行い、治療内容・費用・期間などをしっかりとご説明します。

お仕事帰りやお買い物のついでに立ち寄りやすい北新地・梅田エリアで、歯やお口の健康を守りたい方は、ぜひ当院にご相談ください。虫歯・歯周病の早期発見はもちろん、ホワイトニングや歯のメンテナンスまでトータルでサポートいたします。
北新地で信頼できる歯医者をお探しなら、堂島RYO歯科・矯正クリニックへお越しください。

〒530-0003 大阪府大阪市北区堂島2-1-40 新堂島ビル3F
・JR東西線「北新地駅」 11‑5出口から徒歩約4分
・地下鉄四つ橋線「西梅田駅」 8番出口から徒歩約3分
・京阪中之島線「渡辺橋駅」 7番出口から徒歩約3分

お問い合わせ・お電話でのご予約はこちら

診療時間
日祝
10:00 - 19:15
⚫︎
⚫︎
⚫︎
⚫︎

・・・10:00 - 18:00
【休診日】木曜日、日曜日、祝日