オフィスホワイトニング
2026.04.24

清潔感を上げたいという思いから、
ホワイトニングを希望され来院された患者さまです。

「歯の黄色さや着色が気になる」
というお悩みをお持ちで、
以前にセルフホワイトニングを経験されたことがありました。

しかしその際は、
「特に白くなった実感はなく、満足度は普通でした」
とのことでした。

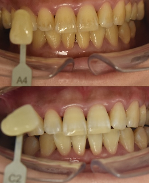
今回、当院でホワイトニングを受けていただいたところ、
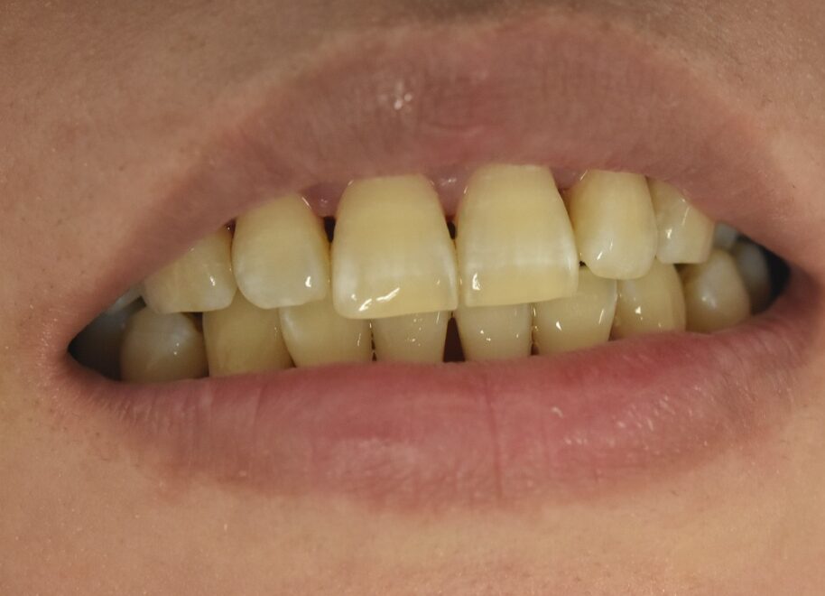
施術後は歯のトーンが大きくアップ。

患者さまも思わず
「めちゃくちゃ白くなった!!」
と笑顔でお話しされていました。

施術中は痛みも全くなく、
リラックスして受けていただけたとのことです。

結果にもご満足いただけました!

ホワイトニングは、
清潔感を大きく左右するポイントの一つです。

また、セルフホワイトニングで満足できなかった方でも、
歯科医院での施術でしっかりと変化を実感されるケースも多くあります。

歯の黄ばみや着色が気になる方は、
お気軽にご相談ください。

セルフホワイトニングで効果を感じなかった方のオフィスホワイトニング症例
ホワイトニングで歯の黄ばみを改善する前の口元
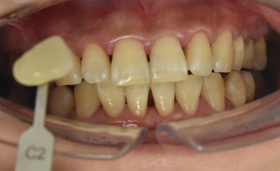
ホワイトニングで歯の黄ばみが改善したアフター
歯の着色と黄ばみがホワイトニングで改善する前の口元写真
歯の着色と黄ばみがホワイトニングで改善した症例写真
治療期間
治療費用
主訴
治療内容