オフィスホワイトニング
2025.10.30

30代男性の患者さまです。

以前からホワイトニングには興味があったものの、
「なかなか施術を受けるきっかけがなかった」とお話しされていました。

また、SNSなどで見かけるホワイトニングの写真についても
「白すぎて少し不自然に見えるものも多く、本当にこんな風になるのかな?」
と半信半疑だったそうです。

そんな中、身近なご友人が
Instagramのストーリーでホワイトニング後の写真を投稿していたのを見て、
直接話を聞いてみたところ

「本当に白くなるよ」

と勧められたことがきっかけで、
今回初めてホワイトニングを受けてみようと思われたそうです。

価格も想像していたより手頃だったこともあり、
当院でホワイトニングに挑戦されました。

施術後、鏡を見た患者さまは

「思っていたより自然な白さですね」

と驚かれていました。

SNSで見ていたような不自然な白さではなく、
ご自身の歯に合った自然なトーンの白さになり、
とても満足していただくことができました。

「写真で見た加工のような白さとは全然違いますね。
自然な仕上がりで安心しました。」

と嬉しいお言葉もいただき、
今後もホワイトニングで通っていただく予定です。

ホワイトニングは、
不自然な白さではなく、その方に合った自然な白さを目指すことができます。

初めてのホワイトニングをご検討の方も、
お気軽にご相談ください。


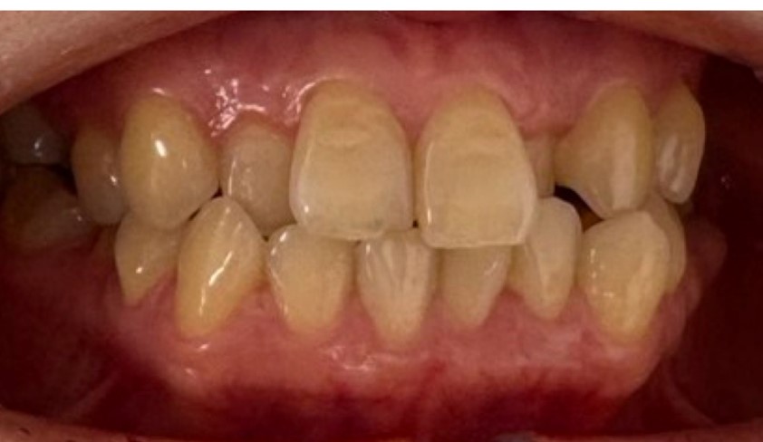
症例画像
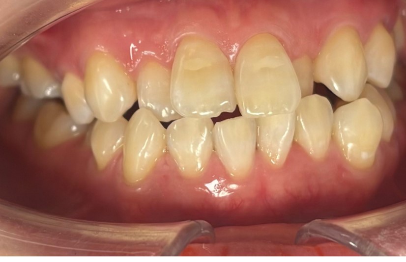
症例画像
治療期間 1日1回(7分×10分×10分)
治療費用 9800円
主訴
治療内容 オフィスホワイトニング
副作用リスク→知覚過敏のようなしみ、痛み。