Aesthetic case report Vol.20代女性|前歯のホワイトスポット治療

ホワイトスポット改善、アイコン治療とダイレクトボンディング

ホワイトスポット改善|アイコン治療+ダイレクトボンディングで自然な仕上がりに

患者さま
20代女性
主訴
歯が一部白いのが気になる
治療内容
アイコン治療+ダイレクトボンディング
治療期間
即日
費用
アイコン治療11000円(税込み)1歯、ダイレクトボンディング20,000円(税込み)

ダイレクトボンディングの主な副作用・リスクは、 時間の経過による変色や艶の消失、耐久性が低く欠けたり外れたりする可能性があることです

clinical photos

治療前後の写真

ホワイトスポット改善|アイコン治療+ダイレクトボンディング

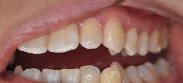
ホワイトスポット治療前の歯の状態(アイコン治療・ダイレクトボンディング前)

ホワイトスポット治療前の歯の状態(アイコン治療・ダイレクトボンディング前)

ホワイトスポット治療後の歯の状態(アイコン治療+ダイレクトボンディング後)

ホワイトスポット治療前の歯の状態(アイコン治療・ダイレクトボンディング後)

ホワイトスポット治療前の歯の状態(アイコン治療・ダイレクトボンディング前後)

patient's concern

来院のきっかけ・治療前のお悩み

「ホワイトスポットの治療について調べている中で、アイコン治療を行っている歯科医院が少なく、ホームページを見て来院。」

why this treatment

なぜこの治療を選んだか

前歯の白い斑点が気になっていて、ホワイトニングをした方がいいのか、それとも他の治療が良いのか分からず悩んでいました。

treatment flow

治療の流れ

  1. Step 1

    まずは歯を削らずに改善を目指すアイコン治療を行いました。

    しかし、白濁の深さの影響により、完全に馴染ませることが難しかったため、
    最終的な仕上がりをより自然に整える目的で、ダイレクトボンディングを併用しました。
    ■当院のホワイトスポット治療の考え方

    当院では、

    ・まずは歯を削らない治療(アイコン)を優先
    ・必要に応じて最小限の処置(ボンディング)で仕上げる

    という段階的な治療設計を行っています。

    一度削った歯は元に戻せないため、
    “削らずにどこまで改善できるか”を見極めた上で、最適な方法をご提案いたします。
    前歯の白い斑点(ホワイトスポット)が気になるというご相談で来院されました。

    ホワイトスポットは一見同じように見えても、原因や深さによって治療方法が異なります。

patient's voice

患者さまの声

白い部分が目立たなくなり、自然な仕上がりでとても満足しています。

※個人の感想であり、効果を保証するものではありません。

笑顔に自信を持ちたい方へ

「歯の色が気になる」「歯並びを整えたい」そんなお悩み、
まずはカウンセリングで詳しくお聞かせください。
無理な勧誘は一切行いません。

堂島RYO歯科・矯正クリニックは、北新地駅・西梅田駅から徒歩すぐの歯医者です。ビジネス街の中心にあり、お仕事の合間やお昼休みにも通いやすい立地にあります。当院は、地域の皆さまに寄り添う「通いやすく、安心できる歯科医院」を目指し、丁寧なカウンセリングと痛みに配慮した治療を心がけています。

虫歯治療や歯周病治療などの一般歯科はもちろん、セラミック治療・ホワイトニング・インプラント・矯正歯科などの自由診療にも対応しています。特に審美歯科治療では、自然で美しい仕上がりと機能性の両立を重視し、患者さま一人ひとりに最適な治療プランをご提案しています。

また、当院では「なるべく削らない・抜かない」ことを基本方針としており、できるだけ歯を残す治療を行っています。マイクロスコープやデジタルレントゲンなどの最新設備を導入し、精密で安全な治療を実現。歯科医師・歯科衛生士・スタッフが連携し、快適な環境で治療を受けていただけるよう努めています。
北新地エリアには多くの歯医者がありますが、堂島RYO歯科・矯正クリニックは「丁寧な説明」と「通いやすさ」にこだわる点が特徴です。初めての方でも不安を感じないよう、治療前にカウンセリングを行い、治療内容・費用・期間などをしっかりとご説明します。

お仕事帰りやお買い物のついでに立ち寄りやすい北新地・梅田エリアで、歯やお口の健康を守りたい方は、ぜひ当院にご相談ください。虫歯・歯周病の早期発見はもちろん、ホワイトニングや歯のメンテナンスまでトータルでサポートいたします。
北新地で信頼できる歯医者をお探しなら、堂島RYO歯科・矯正クリニックへお越しください。

〒530-0003 大阪府大阪市北区堂島2-1-40 新堂島ビル3F
・JR東西線「北新地駅」 11‑5出口から徒歩約4分
・地下鉄四つ橋線「西梅田駅」 8番出口から徒歩約3分
・京阪中之島線「渡辺橋駅」 7番出口から徒歩約3分

お問い合わせ・お電話でのご予約はこちら

診療時間
日祝
10:00 - 19:15
⚫︎
⚫︎
⚫︎
⚫︎

・・・10:00 - 18:00
【休診日】木曜日、日曜日、祝日