Aesthetic case report Vol.40代男性|前歯の色と形を改善
ホワイトニング+ダイレクトボンディング症例(北新地・大阪)
40代男性|前歯の色と形を改善|ホワイトニング+ダイレクトボンディング症例(北新地・大阪)
ダイレクトボンディングの主な副作用・リスクは、 時間の経過による変色や艶の消失、耐久性が低く欠けたり外れたりする可能性があることです
clinical photos
治療前後の写真
ホワイトニング・ダイレクトボンディング治療(40代男性・北新地)
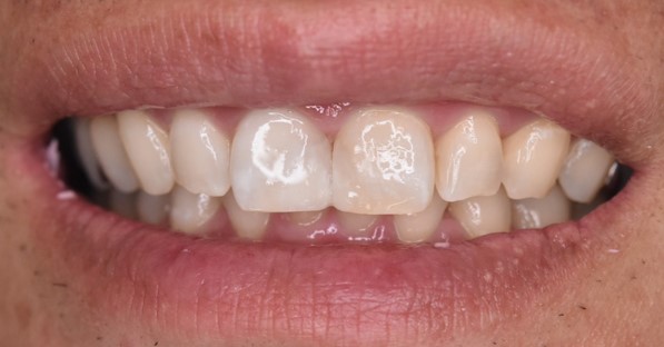
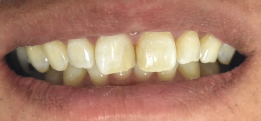
前歯の色ムラと形の不揃いが気になる症例
ホワイトニング・ダイレクトボンディング前の前歯の色と形(40代男性・北新地)
ホワイトニング・ダイレクトボンディング後の前歯の色と形(40代男性・北新地)
前歯の色ムラと形の不揃いが気になる症例(ホワイトニング・ダイレクトボンディング前後/40代男性・北新地)
patient's concern
来院のきっかけ・治療前のお悩み
「前歯の色が気になる」
「形が少し不揃いで気になる」
このようなお悩みでご来院された40代男性の症例をご紹介します。
why this treatment
なぜこの治療を選んだか
■ なぜダイレクトボンディングを選択したのか
今回の症例では、院長より「ラミネートベニア」もしくは「ダイレクトボンディング」の2つの治療方法をご提案しました。
その中で患者さまは、
「できるだけ歯を削る量を増やしたくない」というご希望をお持ちでした。
ラミネートベニアは審美性に優れた治療法ですが、セラミックを貼り付けるために歯を一定量削る必要があります。
一方でダイレクトボンディングは、歯をほとんど削らずに形態を整えることが可能な治療です。
患者さまのご希望を踏まえ、今回は侵襲を最小限に抑えながら見た目を改善できるダイレクトボンディングを選択しました。
treatment flow
オフィスホワイトニング
-
歯全体のトーンを上げ、清潔感のある白さへ改善します。
色味のベースを整えることで、その後の審美治療の仕上がりもより自然になります。 -
ダイレクトボンディング
前歯の形態修正を目的に行いました。
歯を削る量を最小限に抑えながら、自然な形に整えることができる治療法です。
patient's voice
患者さまの声
「とても満足しています」とのお声をいただきました。
※個人の感想であり、効果を保証するものではありません。
笑顔に自信を持ちたい方へ
「歯の色が気になる」「歯並びを整えたい」そんなお悩み、
まずはカウンセリングで詳しくお聞かせください。
無理な勧誘は一切行いません。
堂島RYO歯科・矯正クリニックは、北新地駅・西梅田駅から徒歩すぐの歯医者です。ビジネス街の中心にあり、お仕事の合間やお昼休みにも通いやすい立地にあります。当院は、地域の皆さまに寄り添う「通いやすく、安心できる歯科医院」を目指し、丁寧なカウンセリングと痛みに配慮した治療を心がけています。
虫歯治療や歯周病治療などの一般歯科はもちろん、セラミック治療・ホワイトニング・インプラント・矯正歯科などの自由診療にも対応しています。特に審美歯科治療では、自然で美しい仕上がりと機能性の両立を重視し、患者さま一人ひとりに最適な治療プランをご提案しています。
また、当院では「なるべく削らない・抜かない」ことを基本方針としており、できるだけ歯を残す治療を行っています。マイクロスコープやデジタルレントゲンなどの最新設備を導入し、精密で安全な治療を実現。歯科医師・歯科衛生士・スタッフが連携し、快適な環境で治療を受けていただけるよう努めています。
北新地エリアには多くの歯医者がありますが、堂島RYO歯科・矯正クリニックは「丁寧な説明」と「通いやすさ」にこだわる点が特徴です。初めての方でも不安を感じないよう、治療前にカウンセリングを行い、治療内容・費用・期間などをしっかりとご説明します。
お仕事帰りやお買い物のついでに立ち寄りやすい北新地・梅田エリアで、歯やお口の健康を守りたい方は、ぜひ当院にご相談ください。虫歯・歯周病の早期発見はもちろん、ホワイトニングや歯のメンテナンスまでトータルでサポートいたします。
北新地で信頼できる歯医者をお探しなら、堂島RYO歯科・矯正クリニックへお越しください。
〒530-0003 大阪府大阪市北区堂島2-1-40 新堂島ビル3F
・JR東西線「北新地駅」 11‑5出口から徒歩約4分
・地下鉄四つ橋線「西梅田駅」 8番出口から徒歩約3分
・京阪中之島線「渡辺橋駅」 7番出口から徒歩約3分
お問い合わせ・お電話でのご予約はこちら
- 診療時間
- 月
- 火
- 水
- 木
- 金
- 土
- 日祝
- 10:00 - 19:15
- ⚫︎
- ⚫︎
- ⚫︎
- ー
- ⚫︎
- ▲
- ー
▲・・・10:00 - 18:00
【休診日】木曜日、日曜日、祝日