Aesthetic case report Vol.60代女性|再矯正と補綴治療(全顎)

再矯正と全顎補綴で噛む力と自信を取り戻したケース

笑顔で話せる毎日が、戻ってきた。

患者さま
60歳 女性
主訴
矯正後物が噛めなくなり顔貌も変わってしまった。
治療期間
1年半
費用
300万円

※ 審美治療には個人差があり、リスク・副作用が生じる場合があります。

clinical photos

治療前後の写真

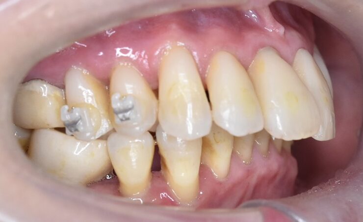
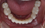
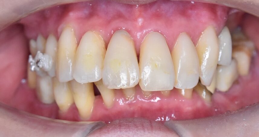
治療前の口腔内の様子

60代女性 審美治療前の歯の写真(下顎)
60代女性 審美治療前の歯の写真(右側方)
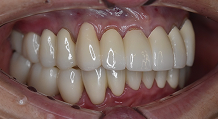
60代女性審美治療前の歯写真(正面)
60代女性 審美治療前の歯の写真(左側方)
60代女性審美治療前の歯の写真(下顎)

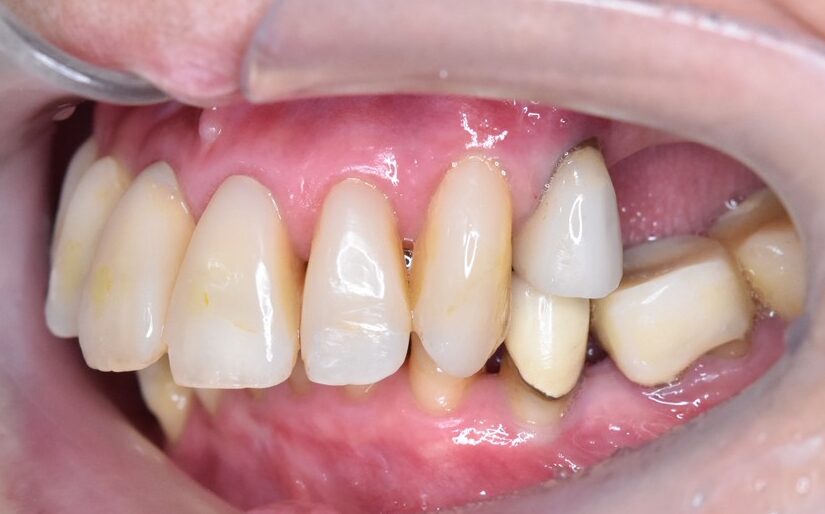
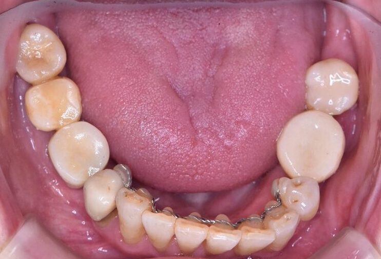
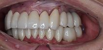
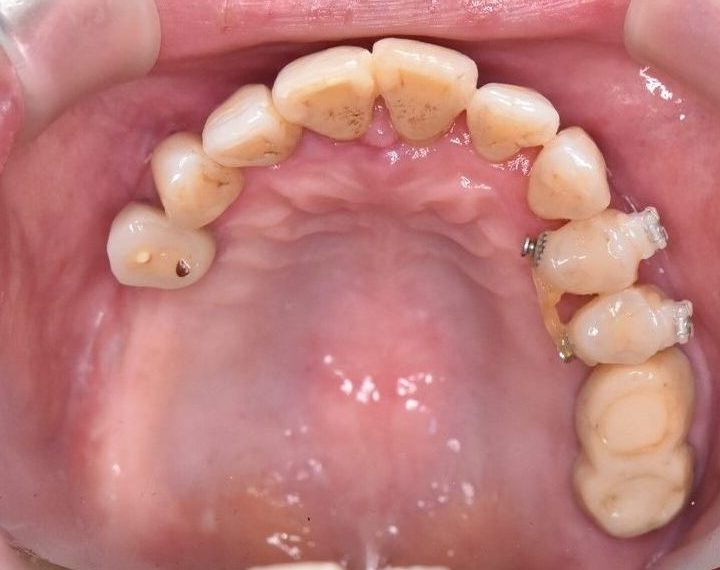
治療後の口腔内の様子

60代新治療後の写真(上顎)
60代女性の治療後の口腔内写真(右側方)
60代女性審美治療後の写真正面
60代女性審美治療後の口腔内写真(左側方
60代女性審美治療後の写真(下顎)

顔貌比較

Before
60代女性審美治療の前の写真正面
After
60代女性審美治療の後の写真正面

patient's concern

来院のきっかけ・治療前のお悩み

「矯正が終わったのに、物が噛めなくなってしまった。顔の印象まで変わって、鏡を見るのが辛くて…」そうおっしゃって来院された60歳の女性患者さま。以前の矯正治療後から噛み合わせが崩れ、食事のたびに不便を感じておられました。さらに滑舌が悪くなったことで会話も億劫になり、笑顔に自信が持てない日々が続いていたとのことです。「また失敗したらどうしよう」という強い不安を抱えながらも、藁にもすがる思いでご来院されました。

治療前のお悩み・不安
  • 噛めなくなった
  • 顔貌が変わってしまった

why this treatment

なぜこの治療を選んだか

患者さまのお悩みは「噛めない」「話しにくい」「顔が変わった」という3つが複雑に絡み合っていました。

どれか一つを解決するだけでは根本的な改善にならないため、再矯正と全顎補綴を組み合わせた包括的な治療計画をご提案しました。

「また同じことになるのでは」というご不安に対しては、なぜ前回の矯正で問題が起きたのか、今回はどのような手順でどんな理由でこの計画を立てたのかを丁寧にご説明しました。十分にご納得いただいた上で治療をスタートしています。

treatment flow

治療の流れ(約1年半)

  1. Step 1

    再矯正(約6ヶ月)

    崩れた咬合平面を整えるところから始めました。歯周病による歯の動揺があるため、無理のない矯正力で丁寧に歯を移動させます。この段階で「噛める土台」をしっかり作ることが最優先です。噛み合わせが整うことで、滑舌・発音の改善も同時に図りました。

  2. Step 2

    保定期間(約6ヶ月)

    矯正中は骨が柔らかくなるため、歯の位置を安定させるための期間です。一見「何もしていない」ように見えますが、この期間を十分に取ることが後戻りを防ぎ、次の補綴治療の精度を上げるために欠かせません。焦らず骨の回復を待つことが、長期的な安定につながります。

  3. Step 3

    全顎補綴・顔貌修正(約6ヶ月)

    安定した歯列の上に、全顎の被せ物(クラウン)を装着します。被せ物の形態を一つひとつ丁寧に決めていくことで、噛みやすさと話しやすさを同時に実現しました。咬合高径(噛み合わせの高さ)を適切に設定することで、治療前に変わってしまっていた顔貌バランスの回復も図っています。

patient's voice

患者さまの声

最初は不安でいっぱいでしたが、噛める喜びに加え、滑舌も良くなり、話すことが楽しくなりました。鏡を見るのも苦ではなくなり、自然な笑顔が戻ってきたことが何より嬉しいです。

※個人の感想であり、効果を保証するものではありません。

笑顔に自信を持ちたい方へ

「歯の色が気になる」「歯並びを整えたい」そんなお悩み、
まずはカウンセリングで詳しくお聞かせください。
無理な勧誘は一切行いません。

堂島RYO歯科・矯正クリニックは、北新地駅・西梅田駅から徒歩すぐの歯医者です。ビジネス街の中心にあり、お仕事の合間やお昼休みにも通いやすい立地にあります。当院は、地域の皆さまに寄り添う「通いやすく、安心できる歯科医院」を目指し、丁寧なカウンセリングと痛みに配慮した治療を心がけています。

虫歯治療や歯周病治療などの一般歯科はもちろん、セラミック治療・ホワイトニング・インプラント・矯正歯科などの自由診療にも対応しています。特に審美歯科治療では、自然で美しい仕上がりと機能性の両立を重視し、患者さま一人ひとりに最適な治療プランをご提案しています。

また、当院では「なるべく削らない・抜かない」ことを基本方針としており、できるだけ歯を残す治療を行っています。マイクロスコープやデジタルレントゲンなどの最新設備を導入し、精密で安全な治療を実現。歯科医師・歯科衛生士・スタッフが連携し、快適な環境で治療を受けていただけるよう努めています。
北新地エリアには多くの歯医者がありますが、堂島RYO歯科・矯正クリニックは「丁寧な説明」と「通いやすさ」にこだわる点が特徴です。初めての方でも不安を感じないよう、治療前にカウンセリングを行い、治療内容・費用・期間などをしっかりとご説明します。

お仕事帰りやお買い物のついでに立ち寄りやすい北新地・梅田エリアで、歯やお口の健康を守りたい方は、ぜひ当院にご相談ください。虫歯・歯周病の早期発見はもちろん、ホワイトニングや歯のメンテナンスまでトータルでサポートいたします。
北新地で信頼できる歯医者をお探しなら、堂島RYO歯科・矯正クリニックへお越しください。

〒530-0003 大阪府大阪市北区堂島2-1-40 新堂島ビル3F
・JR東西線「北新地駅」 11‑5出口から徒歩約4分
・地下鉄四つ橋線「西梅田駅」 8番出口から徒歩約3分
・京阪中之島線「渡辺橋駅」 7番出口から徒歩約3分

お問い合わせ・お電話でのご予約はこちら

診療時間
日祝
10:00 - 19:15
⚫︎
⚫︎
⚫︎
⚫︎

・・・10:00 - 18:00
【休診日】木曜日、日曜日、祝日