Aesthetic case report Vol.40代女性|歯の形や歯ぐきの高さのバランスが気になる

・部分矯正(歯並びの調整)・歯肉切除術(歯ぐきの高さの調整)・セラミック治療(被せ物の再治療)

前歯のセラミックやり直し|歯ぐきラインと歯並びを整えて自然な口元に(40代女性)

患者さま
40代女性
主訴
歯の形や歯ぐきの高さのバランスが気になるようになり、「もう少し自然できれいな口元に整えたい」
治療内容
・部分矯正(歯並びの調整)・歯肉切除術(歯ぐきの高さの調整)・セラミック治療(被せ物の再治療)
治療期間
約8ヶ月
費用
・部分矯正:150,000円+税・歯肉切除術:88,000円・セラミック治療:135,000円+税 × 6本

※ 審美治療には個人差があり、リスク・副作用が生じる場合があります。

clinical photos

治療前後の写真

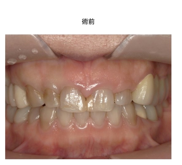
前歯のセラミックと歯ぐきのラインに違和感がある治療前の状態

治療前

40代女性の矯正治療中の歯並びの状態(大阪北新地)

矯正治療中

セラミック再治療で自然な前歯に仕上がった症例

矯正治療後、補綴物完了

patient's concern

来院のきっかけ・治療前のお悩み

来院のきっかけ左上の前歯にセラミック治療を受けていましたが、歯の形や歯ぐきの高さのバランスが気になるようになり、「もう少し自然できれいな口元に整えたい」というご希望で来院されました。

why this treatment

なぜこの治療を選んだか

前歯はわずかな形や歯ぐきの高さの違いでも見た目の印象に大きく影響します。

診察の結果、歯並びと歯ぐきのライン、そして被せ物の形をトータルで整える必要があると判断しました。

治療内容今回の治療では、口元のバランスを整えるために・部分矯正(歯並びの調整)・歯肉切除術(歯ぐきの高さの調整)・セラミック治療(被せ物の再治療)

を組み合わせて治療を行いました。

歯並びと歯ぐきの高さを整えてからセラミックを作り直すことで、より自然でバランスの良い前歯に仕上げることができます。

治療後歯並びと歯ぐきのラインが整ったことで、前歯の形やバランスも自然になり、口元全体の印象が大きく改善しました。

前歯の審美治療では、歯だけでなく歯ぐきや歯並びとのバランスも重要になります。当院では、見た目の美しさと機能の両方を考えた総合的な審美治療をご提案しています。

treatment flow

治療の流れ

  1. Step 1

patient's voice

患者さまの声

患者さまからも「気になっていた部分がきれいに整って嬉しいです」と喜んでいただくことができました。

※個人の感想であり、効果を保証するものではありません。

笑顔に自信を持ちたい方へ

「歯の色が気になる」「歯並びを整えたい」そんなお悩み、
まずはカウンセリングで詳しくお聞かせください。
無理な勧誘は一切行いません。

堂島RYO歯科・矯正クリニックは、北新地駅・西梅田駅から徒歩すぐの歯医者です。ビジネス街の中心にあり、お仕事の合間やお昼休みにも通いやすい立地にあります。当院は、地域の皆さまに寄り添う「通いやすく、安心できる歯科医院」を目指し、丁寧なカウンセリングと痛みに配慮した治療を心がけています。

虫歯治療や歯周病治療などの一般歯科はもちろん、セラミック治療・ホワイトニング・インプラント・矯正歯科などの自由診療にも対応しています。特に審美歯科治療では、自然で美しい仕上がりと機能性の両立を重視し、患者さま一人ひとりに最適な治療プランをご提案しています。

また、当院では「なるべく削らない・抜かない」ことを基本方針としており、できるだけ歯を残す治療を行っています。マイクロスコープやデジタルレントゲンなどの最新設備を導入し、精密で安全な治療を実現。歯科医師・歯科衛生士・スタッフが連携し、快適な環境で治療を受けていただけるよう努めています。
北新地エリアには多くの歯医者がありますが、堂島RYO歯科・矯正クリニックは「丁寧な説明」と「通いやすさ」にこだわる点が特徴です。初めての方でも不安を感じないよう、治療前にカウンセリングを行い、治療内容・費用・期間などをしっかりとご説明します。

お仕事帰りやお買い物のついでに立ち寄りやすい北新地・梅田エリアで、歯やお口の健康を守りたい方は、ぜひ当院にご相談ください。虫歯・歯周病の早期発見はもちろん、ホワイトニングや歯のメンテナンスまでトータルでサポートいたします。
北新地で信頼できる歯医者をお探しなら、堂島RYO歯科・矯正クリニックへお越しください。

〒530-0003 大阪府大阪市北区堂島2-1-40 新堂島ビル3F
・JR東西線「北新地駅」 11‑5出口から徒歩約4分
・地下鉄四つ橋線「西梅田駅」 8番出口から徒歩約3分
・京阪中之島線「渡辺橋駅」 7番出口から徒歩約3分

お問い合わせ・お電話でのご予約はこちら

診療時間
日祝
10:00 - 19:15
⚫︎
⚫︎
⚫︎
⚫︎

・・・10:00 - 18:00
【休診日】木曜日、日曜日、祝日