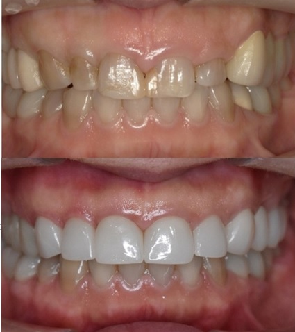
前歯の変色を繰り返す方へ|ジルコニアクラウンで自然な仕上がりに改善した症例
Vol.50代女性|繰り返す前歯の変色
2026.04.10

前歯のジルコニア治療

前歯の変色を繰り返す方へ|ジルコニアクラウンで自然な仕上がりに改善した症例

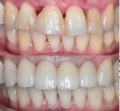
前歯のセラミックやり直し|歯ぐきラインと歯並びを整えて自然な口元に(40代女性)
Vol.40代女性|歯の形や歯ぐきの高さのバランスが気になる
2026.04.07

・部分矯正(歯並びの調整)・歯肉切除術(歯ぐきの高さの調整)・セラミック治療(被せ物の再治療)

前歯のセラミックやり直し|歯ぐきラインと歯並びを整えて自然な口元に(40代女性)

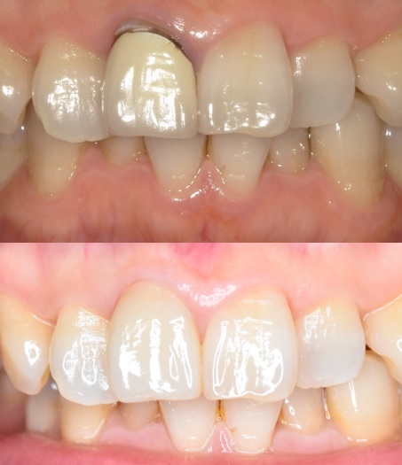
前歯の黄ばみの原因は神経ではない?CR(詰め物)の劣化による変色を改善した症例
Vol.30代女性|前歯1本の変色を改善
2026.04.07

ダイレクトボンディング治療

前歯の黄ばみの原因は神経ではない?CR(詰め物)の劣化による変色を改善した症例

笑顔で話せる毎日が、戻ってきた。
Vol.60代女性|再矯正と補綴治療(全顎)
2026.03.23

再矯正と全顎補綴で噛む力と自信を取り戻したケース

笑顔で話せる毎日が、戻ってきた。

40代男性|前歯の色と形を改善|ホワイトニング+ダイレクトボンディング症例(北新地・大阪)
Vol.40代男性|前歯の色と形を改善
2026.03.15

ホワイトニング+ダイレクトボンディング症例(北新地・大阪)

40代男性|前歯の色と形を改善|ホワイトニング+ダイレクトボンディング症例(北新地・大阪)

ホワイトスポット改善|アイコン治療+ダイレクトボンディングで自然な仕上がりに
Vol.20代女性|前歯のホワイトスポット治療
2026.03.03

ホワイトスポット改善、アイコン治療とダイレクトボンディング

ホワイトスポット改善|アイコン治療+ダイレクトボンディングで自然な仕上がりに

前歯の隙間が広がる原因は歯周病?再生療法とセラミックで改善した症例(40代女性)
Vol.40代女性|前歯が開いてきた
2026.02.25

歯周組織再生療法+セラミック(補綴)

前歯の隙間が広がる原因は歯周病?再生療法とセラミックで改善した症例(40代女性)

前歯が黒い原因と治療法|根管治療+セラミックで自然な白さに改善(60代女性症例)
Vol.60代女性|前歯の黒ずみの治療
2026.02.07

根管治療+セラミック治療

前歯が黒い原因と治療法|根管治療+セラミックで自然な白さに改善(60代女性症例)