Aesthetic case report Vol.50代女性|繰り返す前歯の変色

前歯のジルコニア治療

前歯の変色を繰り返す方へ|ジルコニアクラウンで自然な仕上がりに改善した症例

患者さま
50歳 女性
主訴
以前治療した前歯2本の変色を繰り返していること、また右上前歯の欠けによる見た目の違和感が気になる
治療内容
ジルコニア治療
治療期間
約2週間
費用
費用:148,500円 × 2本

歯を削る必要がある、神経に影響が出る可能性

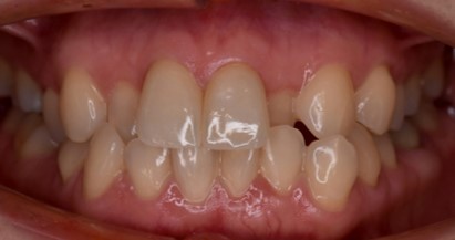
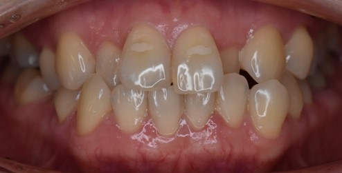
clinical photos

治療前後の写真

前歯2本の変色と欠けている50代女性の症例
前歯2本の変色と欠けをジルコニアクラウンで自然に改善した50代女性の症例
前歯2本の変色と欠けをジルコニアクラウンで自然に改善した50代女性の症例

patient's concern

来院のきっかけ・治療前のお悩み

患者様は過去に前歯2本の治療を受けておられましたが、時間の経過とともに色調の変化が生じ、「何度もやり替えているが、また変色してきた」とのお悩みで来院されました。
また、右上の前歯には一部欠けがあり、歯の形態バランスにも違和感がある状態でした。

why this treatment

なぜこの治療を選んだか

前歯は非常に目立つ部位であり、わずかな色や形の違いでも審美的なストレスにつながります。特に過去の修復物は、材料の特性や経年劣化により変色が起こることがあり、今回のように「繰り返し気になる」というケースは少なくありません。

■治療計画

初診時には、まず歯への負担を最小限に抑える治療として
**ダイレクトボンディング(コンポジットレジン修復)**をご提案しました。

ダイレクトボンディングは
・歯をほとんど削らない
・1回で治療が可能
・自然な見た目に仕上げられる

といったメリットがあります。

しかし一方で、材料の特性上、
経年による変色や摩耗が避けられないというデメリットもあります。

今回の患者様は
「これまで何度も変色を繰り返している」
という背景があったため、

✔ 長期間きれいな状態を保ちたい
✔ もうやり替えたくない

というご希望を重視し、最終的に
ジルコニアクラウンによる治療を選択されました。

patient's voice

患者さまの声

治療後は、色調・形態ともに自然な仕上がりとなり、患者様ご本人も大変満足されていました。
さらに、
「家族にも気づかれないくらい自然」
「とてもきれいになったと褒められた」
とのお声もいただいています。
前歯治療においては、患者様ご自身の満足度だけでなく、第三者から見ても違和感がない仕上がりであることが非常に重要です。

※個人の感想であり、効果を保証するものではありません。

笑顔に自信を持ちたい方へ

「歯の色が気になる」「歯並びを整えたい」そんなお悩み、
まずはカウンセリングで詳しくお聞かせください。
無理な勧誘は一切行いません。

堂島RYO歯科・矯正クリニックは、北新地駅・西梅田駅から徒歩すぐの歯医者です。ビジネス街の中心にあり、お仕事の合間やお昼休みにも通いやすい立地にあります。当院は、地域の皆さまに寄り添う「通いやすく、安心できる歯科医院」を目指し、丁寧なカウンセリングと痛みに配慮した治療を心がけています。

虫歯治療や歯周病治療などの一般歯科はもちろん、セラミック治療・ホワイトニング・インプラント・矯正歯科などの自由診療にも対応しています。特に審美歯科治療では、自然で美しい仕上がりと機能性の両立を重視し、患者さま一人ひとりに最適な治療プランをご提案しています。

また、当院では「なるべく削らない・抜かない」ことを基本方針としており、できるだけ歯を残す治療を行っています。マイクロスコープやデジタルレントゲンなどの最新設備を導入し、精密で安全な治療を実現。歯科医師・歯科衛生士・スタッフが連携し、快適な環境で治療を受けていただけるよう努めています。
北新地エリアには多くの歯医者がありますが、堂島RYO歯科・矯正クリニックは「丁寧な説明」と「通いやすさ」にこだわる点が特徴です。初めての方でも不安を感じないよう、治療前にカウンセリングを行い、治療内容・費用・期間などをしっかりとご説明します。

お仕事帰りやお買い物のついでに立ち寄りやすい北新地・梅田エリアで、歯やお口の健康を守りたい方は、ぜひ当院にご相談ください。虫歯・歯周病の早期発見はもちろん、ホワイトニングや歯のメンテナンスまでトータルでサポートいたします。
北新地で信頼できる歯医者をお探しなら、堂島RYO歯科・矯正クリニックへお越しください。

〒530-0003 大阪府大阪市北区堂島2-1-40 新堂島ビル3F
・JR東西線「北新地駅」 11‑5出口から徒歩約4分
・地下鉄四つ橋線「西梅田駅」 8番出口から徒歩約3分
・京阪中之島線「渡辺橋駅」 7番出口から徒歩約3分

お問い合わせ・お電話でのご予約はこちら

診療時間
日祝
10:00 - 19:15
⚫︎
⚫︎
⚫︎
⚫︎

・・・10:00 - 18:00
【休診日】木曜日、日曜日、祝日