ホワイトニング
2025.10.30

30代男性の患者さまです。

結婚式を控え、
「歯を少しきれいにしておきたい」と思っていたそうです。

ちょうどその頃、会社の同僚が
当院でホワイトニングを受けていたとのことで、
実際に白くなった歯を見せてもらう機会があったそうです。

「本当に白くなるんだ」と感じたことがきっかけで、
ご自身もホワイトニングを受けてみようと思われたとのことでした。

さらに、会社から近い場所にあったこともあり、
まずは軽い気持ちで施術を受けてみることに。

施術後、鏡を見て
「思っていたより白くなりました」と驚かれていました。

歯のトーンが明るくなり、
結婚式を迎える前に口元の印象も整えることができました。

患者さまにもとても満足していただくことができました。

結婚式など大切なイベントの前に、
ホワイトニングを受ける方も多くいらっしゃいます。

大切な日の前に歯をきれいに整えたい方は、
お気軽にご相談ください。

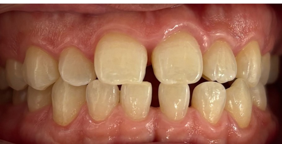
症例画像
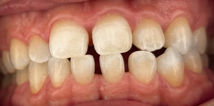
症例画像
治療期間 1日1回(7分×10分×10分)
治療費用 9800円
主訴
治療内容 オフィスホワイトニング
副作用リスク→知覚過敏のようなしみ、痛み。