ホワイトニング
2025.09.22
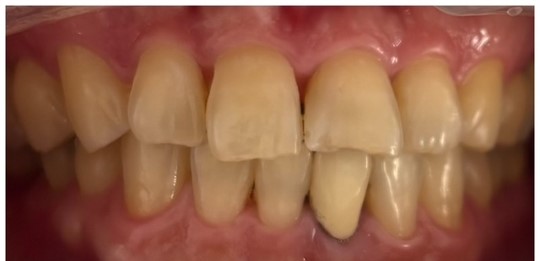
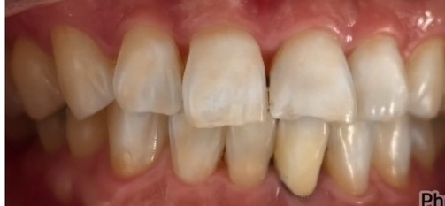
症例画像
治療期間 1回(7分×10分×10分)
治療費用 9800
主訴 歯の黄ばみ
治療内容 オフィスホワイトニング