ホワイトニング
2025.09.22

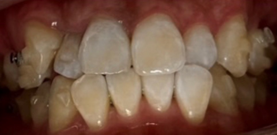
20代男性の患者さまです。

現在、他院でインビザライン矯正治療中でしたが、
「歯並びだけでなく、歯の色もきれいにしたい」と
ホワイトニングを希望されて来院されました。

実は、インビザライン矯正中の歯には
**アタッチメント(小さな突起)**が付いているため、
その部分の下にはホワイトニングの光が届きにくく、
ホワイトニングを断られてしまうこともあるそうです。

患者さまも実際に、
他院でホワイトニングを断られた経験がありました。

しかし、歯科業界で働いていることもあり
セルフホワイトニングでは理想の白さにならないと考え、
当院へご相談に来てくださいました。

診察の際には、

・アタッチメントの下は照射できないこと
・矯正治療が終わった後に色むらが出る可能性があること

など、インビザライン矯正中にホワイトニングを行うデメリット
しっかりとご説明しました。

患者さまも内容にご納得されたうえで、
今回ホワイトニング施術を行うことになりました。

矯正治療が終了し、
アタッチメントを外した後には
色むらを整えるためのホワイトニング施術
改めて行う予定です。

インビザライン矯正中でもホワイトニングは可能ですが、
いくつかの注意点があります。

当院では患者さまの状況に合わせて、
治療のメリット・デメリットをしっかりご説明したうえで
最適な治療をご提案しています。

歯並びと歯の白さ、どちらも整えたい方は
お気軽にご相談ください。

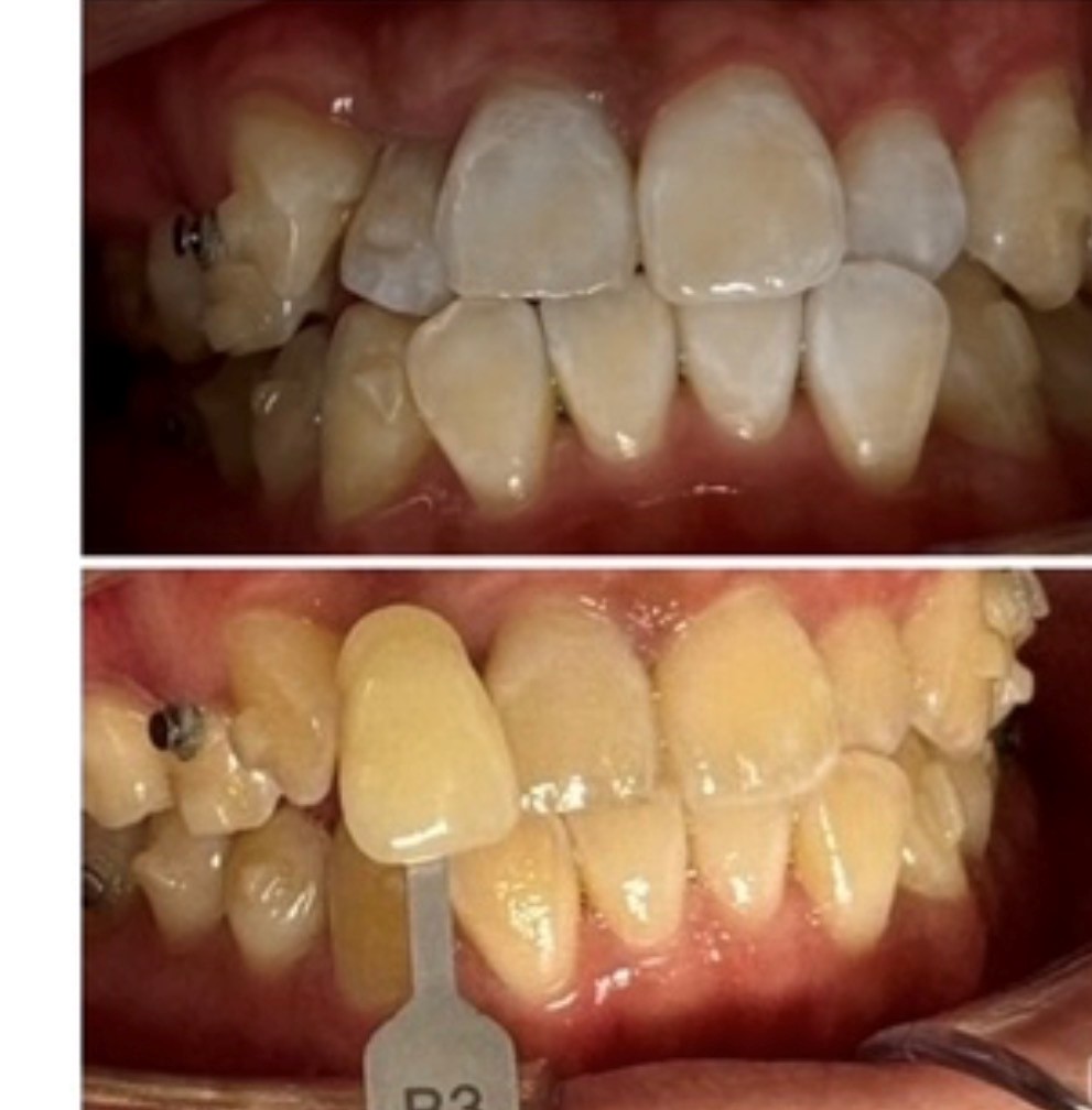
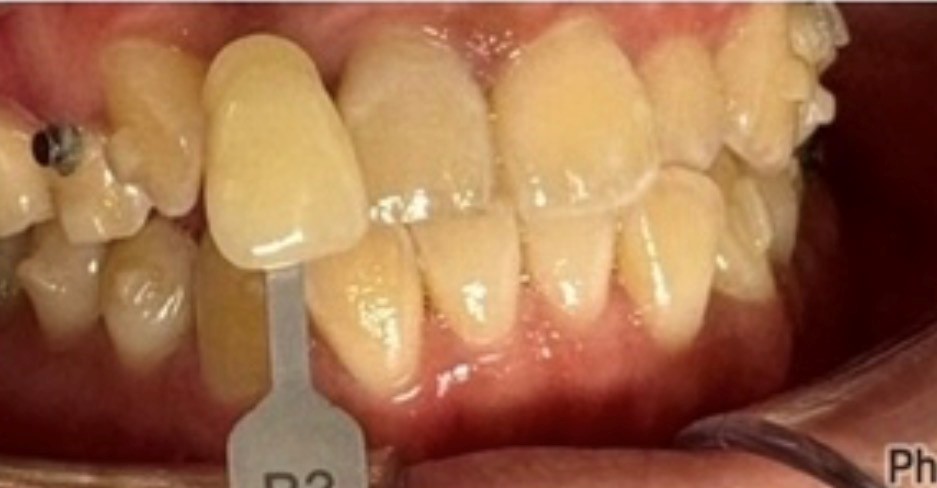
症例画像
症例画像
症例画像
治療期間 1回(7分×10分×10分)
治療費用 9800
主訴 歯の着色
治療内容 オフィスホワイトニング
副作用リスク→知覚過敏のようなしみ、痛み。アタッチメントの下の色むら