whitening

ホワイトニング

※ホワイトニングの前にお口の検査が必要となります。詳しくはお問い合わせください。

当院のホワイトニングが選ばれる理由

ホワイトニングは、歯科医院によって使用する薬剤や機器、施術方法が異なるため、同じ「ホワイトニング」でも結果に差が出ることがあります。

当院には、初めてホワイトニングを受ける方だけでなく、これまでに他院でホワイトニングを経験された方も多く来院されています。
中には、「以前ホワイトニングをしたけれど、思ったより白くならなかった」「セルフホワイトニングでは効果を感じられなかった」「もっと白くしたい」といった理由で来院される方も少なくありません。

また実は、歯科医院で働くスタッフの方が、お忍びで来院されることもあります。
「自分が働いている歯科医院のホワイトニングでは思ったほど白くならなかった」「もっと白くできる方法があると聞いて来ました」といった理由で、当院のホワイトニングを受けに来てくださるケースもあります。
それほどまでに、ホワイトニングの結果は医院によって差が出る分野でもあります。

さらに、ホワイトニング後の白さを長く保つためのケア方法やメンテナンスについても丁寧にご説明しています。
当院では、歯の状態やご希望の白さに合わせて、適切なホワイトニング方法をご提案しています。歯の色でお悩みの方は、ぜひ一度ご相談ください。

当院のホワイトニングの特徴
  • 症例数が多い
  • ホワイトニング経験者でも白くなる
  • リタッチで白さをキープできる
  • ホワイトスポット、アイコン治療にも対応

ホワイトニング症例

施術前
施術後

・照射1クール(7分×3回ハード)3トーンアップ

施術前
施術後

・照射1クール(7分×3回ハード)6トーンアップ

施術前
施術後

・照射1クール(7分×3回ハード)6トーンアップ

施術前
施術後

・照射1クール(7分×3回ハード)6トーンアップ

オフィスホワイトニング

1回で白さを実感!堂島RYO歯科・矯正クリニックのホワイトニング
1回で白さを実感!堂島RYO歯科・矯正クリニックのホワイトニング

当院のホワイトニングは、日本人の口腔環境と歯質に合わせて開発されたホワイトニングシステムです。薬剤塗布後に特許取得の特殊フィルターを通した光を照射し、紫外線(UV)や過度な熱をカットしながら、安全性に配慮した施術を行います。従来よりホワイトニング効果が長持ちする設計です。

ハロゲン光とLED光(必要に応じて超音波を併用)を組み合わせることで、従来機器に比べて照射時間を約20〜30%短縮しつつ、白さが続きやすいのが特長です。1回の施術で最大5段階のトーンアップが期待できます(効果には個人差があります)。

こんな方におすすめ
  • できるだけ早くトーンアップしたい(イベント/撮影前など)
  • 手間をかけず、院内で完結させたい
  • 初回から白さの変化をしっかり実感したい
  • 自分での管理に自信がなく、スタッフの管理下で進めたい
  • まずは基準の白さを作り、その後の維持を考えたい

施術の流れ

step01
クリーニング

クリーニング

歯の表面をクリーニングします。

step02
歯肉保護剤塗布

歯肉保護剤塗布

歯ぐきを保護する薬剤を塗布します。

step03
ジェル塗布

ジェル塗布

ホワイトニングジェルを歯の表面に塗ります。

step04
光照射

光照射

専用の照射器で光を当てます。

痛みを伴う場合は、痛み止めを処方しますが痛みがある場合の特徴は知覚過敏の様な痛みで2,3日で治まります。

ホームホワイトニング

自宅で手軽に、白さが続くホームホワイトニング
自宅で手軽に、白さが続くホームホワイトニング

ご自宅で少しずつトーンアップさせ、白さが長持ちしやすい方法です。当院はホームホワイトニングはアンジェラスを採用しています。

専用のマウストレーに薬剤を入れて装着し、毎日コツコツ進めることで、自然でむらの少ない仕上がりを目指します(効果や期間には個人差があります)。

こんな方におすすめ
  • 自然でむらの少ない白さを、少しずつ育てたい
  • 必要に応じて白さのメンテナンスを行いたい
  • 自分のペースで続けたい(在宅でケアしたい、時間を選びたい)
  • 通院回数をなるべく抑えたい
  • マウストレーの管理や毎日のケアが苦にならない
  • 濃度や装着時間を調整しながら進めたい

ウォーキングブリーチ(ブースト治療)

神経のない歯に対するホワイトニング治療

・子どもの頃に転んで歯をぶつけ、神経がないままになっている
・自転車で転倒し、前歯を打って神経を失ってしまった


このように、前歯の神経がない歯は決して珍しいものではありません。
当院でもホワイトニングでご来院された際に、「前歯の片方だけ神経がなく、ホワイトニングをすると色の差が目立つので治療したい」といったご相談を多くいただいています。
そのような場合には、ウォーキングブリーチ(ブースト治療)をご提案しています。

治療費用
  • 自費診療
  • 1歯 16,500円

症例

施術前
施術後

上記の症例はホワイトニング後にブースト治療を行うことで、周囲の歯と調和した自然な白さに仕上がりました。

施術前
施術後
施術前
施術後

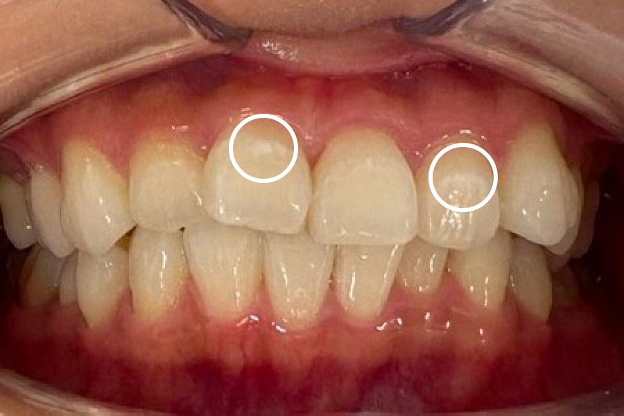
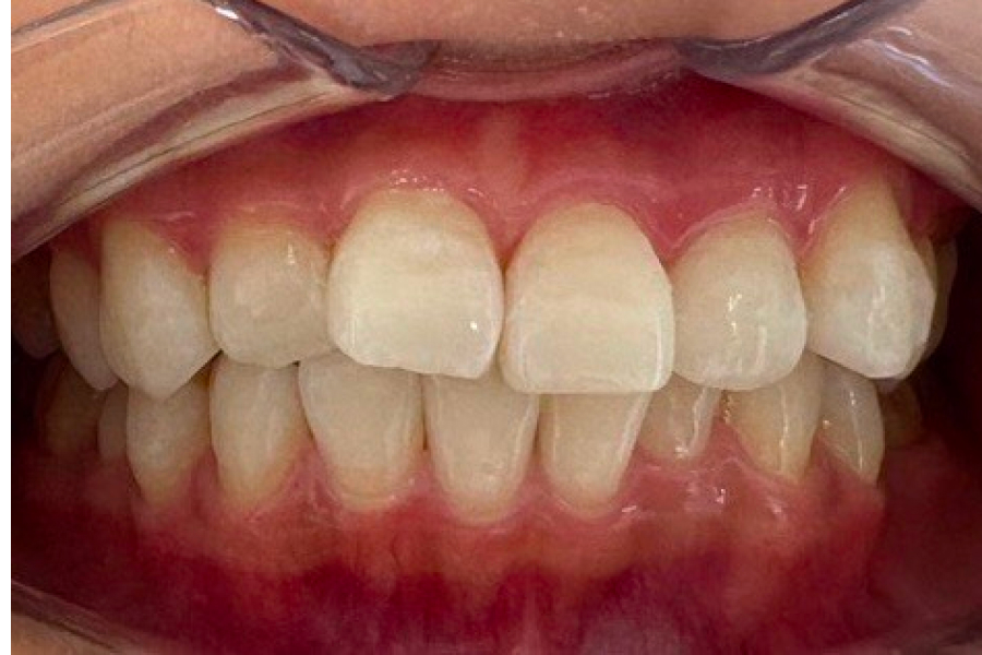
アイコン治療

ホワイトスポットについて

歯の表面にできる白い斑点や濁りを「ホワイトスポット」と呼びます。 これは、初期虫歯やエナメル質の形成不全によって、歯の表面からミネラルが失われる(脱灰)ことで生じるものです。
当院では、ホワイトスポットを削らずに改善できる「アイコン治療」を導入しています。
エナメル質を削らず、専用の薬剤を浸透させることで、自然な色合いへと整えることが可能です。

また、ホワイトニングと併用することで、より均一で自然な白さを実現できます。 見た目だけでなく、歯の健康も守りながら美しい口元を目指しましょう。

所要時間
  • 60分
  • 1歯 11,000円(税込)
ホワイトスポットの選べる2つの治療法

当院では、患者様の大切な歯を「守ること」を第一に考え、症状に合わせた2つのアプローチをご提案しています。
そのため、まずは来院当日に院長がじっくりと診査を行い、アイコン治療でどこまで白濁が解消されるかを専門的な視点で判断いたします。

・歯を削らずに白濁をなじませていく「アイコン治療」
・形を整えるために最小限だけ削って仕上げる「ダイレクトボンディング」

診断結果をもとに、それぞれの治療がもたらす将来的な変化や仕上がりの違いを丁寧にお伝えし、最終的には患者様が最も納得できる方法をご自身でお選びいただいております。

症例

施術前
施術後
施術前
施術後

堂島RYO歯科・矯正クリニックは、北新地駅・西梅田駅から徒歩すぐの歯医者です。ビジネス街の中心にあり、お仕事の合間やお昼休みにも通いやすい立地にあります。当院は、地域の皆さまに寄り添う「通いやすく、安心できる歯科医院」を目指し、丁寧なカウンセリングと痛みに配慮した治療を心がけています。

虫歯治療や歯周病治療などの一般歯科はもちろん、セラミック治療・ホワイトニング・インプラント・矯正歯科などの自由診療にも対応しています。特に審美歯科治療では、自然で美しい仕上がりと機能性の両立を重視し、患者さま一人ひとりに最適な治療プランをご提案しています。

また、当院では「なるべく削らない・抜かない」ことを基本方針としており、できるだけ歯を残す治療を行っています。マイクロスコープやデジタルレントゲンなどの最新設備を導入し、精密で安全な治療を実現。歯科医師・歯科衛生士・スタッフが連携し、快適な環境で治療を受けていただけるよう努めています。
北新地エリアには多くの歯医者がありますが、堂島RYO歯科・矯正クリニックは「丁寧な説明」と「通いやすさ」にこだわる点が特徴です。初めての方でも不安を感じないよう、治療前にカウンセリングを行い、治療内容・費用・期間などをしっかりとご説明します。

お仕事帰りやお買い物のついでに立ち寄りやすい北新地・梅田エリアで、歯やお口の健康を守りたい方は、ぜひ当院にご相談ください。虫歯・歯周病の早期発見はもちろん、ホワイトニングや歯のメンテナンスまでトータルでサポートいたします。
北新地で信頼できる歯医者をお探しなら、堂島RYO歯科・矯正クリニックへお越しください。

〒530-0003 大阪府大阪市北区堂島2-1-40 新堂島ビル3F
・JR東西線「北新地駅」 11‑5出口から徒歩約4分
・地下鉄四つ橋線「西梅田駅」 8番出口から徒歩約3分
・京阪中之島線「渡辺橋駅」 7番出口から徒歩約3分

お問い合わせ・お電話でのご予約はこちら

診療時間
日祝
10:00 - 19:15
⚫︎
⚫︎
⚫︎
⚫︎

・・・10:00 - 18:00
【休診日】木曜日、日曜日、祝日