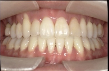
歯茎が下がる、歯肉退縮
歯を支えている歯茎が何らかの理由で下がる現象を歯肉退縮と言います。
歯茎が下がる事で、見た目が悪くなるだけでなく、歯やその周囲にさまざまな症状を引き起こすため注意が必要です。歯肉退縮の主な原因は歯周病です。歯周病は、歯ぐきに細菌感染を起こし炎症反応が生じます。
そして最後には歯を支える骨を溶かすという怖い病気です。日本人の成人の約8割(30代から発症)がかかっているとも言われており、国民病と言われています。
この歯周病に罹ると歯ぐきの破壊が起こり歯肉が下がっていきます。
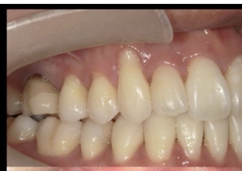
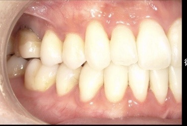
歯肉退縮の特徴
・歯が長く見える
・歯根が露出する
・歯がぐらぐらする
歯肉退縮の予防と治療
歯肉退縮が軽度であれば、歯科医院で歯磨き指導を基本として症状に応じて治療に進みます。普段の歯磨きでは取り除けない歯垢や歯石が除去され露出していた歯根が覆われるため細菌が付着しにくくなります。残った細菌を除去するために抗生物質を使う事もあります。
正しい歯磨きの仕方を身に付ける事が、自身の歯や歯茎を守る基本的な事になります。
適切な歯ブラシと適切な歯磨き剤(研磨剤の有無など)、適切な歯磨き剤の量を確認しながら歯間ブラシやフロスを使って毎日のケアをする事が大切です。
当院は、当日のご予約、変更、キャンセルが全てLineやイーパーク(WEB日時選択可)や、お電話にて受付が可能です!
なかなか診療時間内にお電話が出来ない、、そんな方には、
診療時間外も応答が可能ですので
お気軽にご予約、お問い合わせ下さい。




北新地・堂島・西梅田で歯医者をお探しの方へ
北新地・堂島・西梅田で
歯医者をお探しの方へ
堂島RYO歯科・矯正クリニックは虫歯治療や歯周病治療をはじめ、矯正歯科やインプラント、予防歯科まで幅広く対応しています。
北新地駅・西梅田駅から徒歩圏内、堂島エリアからも通いやすく、お昼休みの短い時間でも通院いただける便利な歯科医院です。
「できるだけ痛みを抑えた治療」「丁寧な説明」「通いやすい立地」を大切にしています。